Ból twarzy i dziąseł po przewianiu? Poznaj objawy i skuteczne leczenie
Przewianie twarzy i dziąseł: poznaj objawy, przyczyny i skuteczne metody leczenia. Dowiedz się, kiedy domowe sposoby nie wystarczą i trzeba iść do lekarza.
Przewianie twarzy i dziąseł: poznaj objawy, przyczyny i skuteczne metody leczenia. Dowiedz się, kiedy domowe sposoby nie wystarczą i trzeba iść do lekarza.
Spuchnięte dziąsło? Odkryj domowe sposoby na ból i opuchliznę, skuteczne leki z apteki oraz kiedy iść do dentysty. Poznaj przyczyny i zapobiegaj!
Rozpoznaj aftę na dziąśle dzięki zdjęciom i opisom. Odkryj przyczyny, domowe sposoby na ulgę i skuteczne leczenie. Sprawdź, kiedy udać się do lekarza.
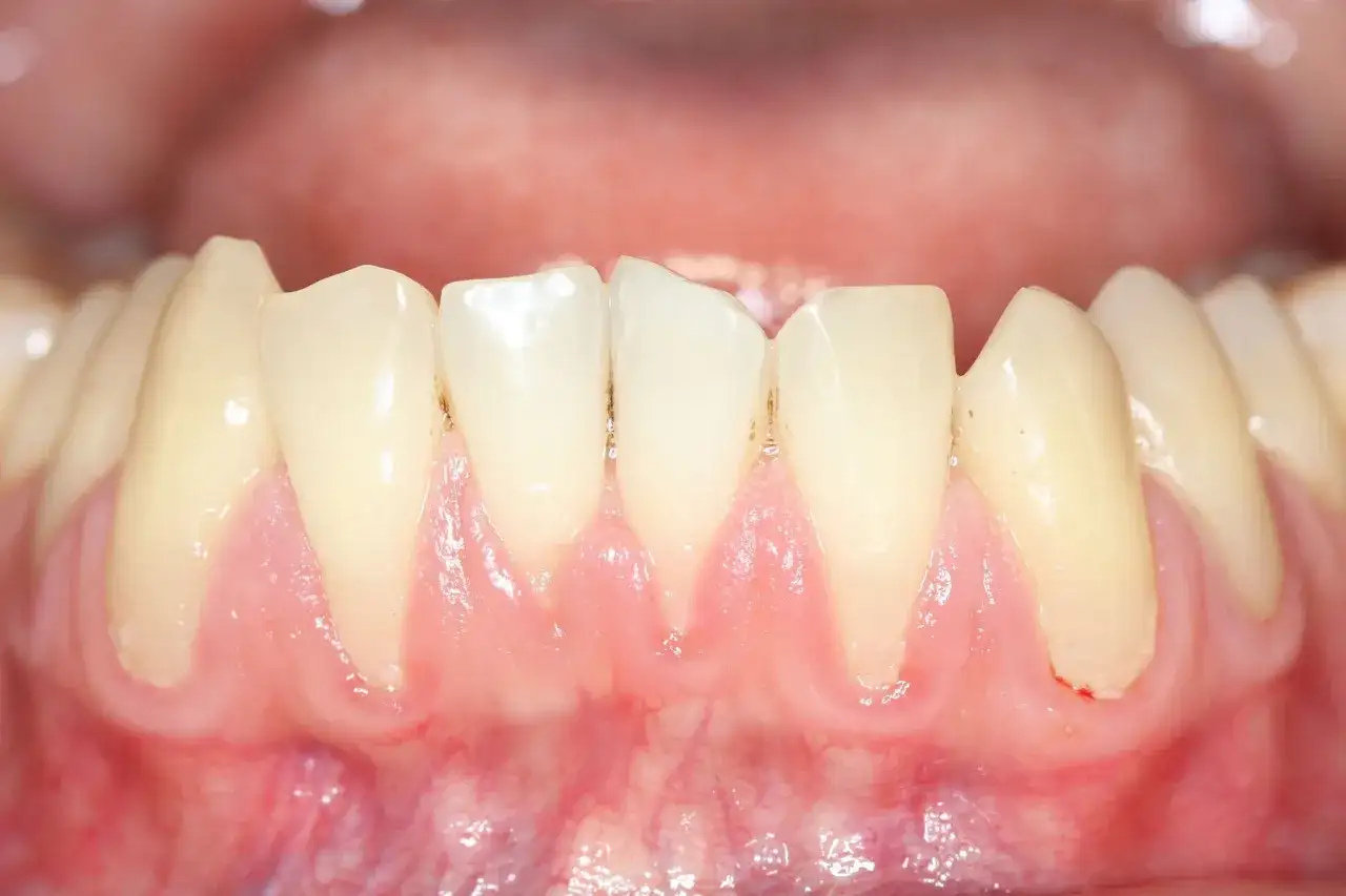
Krwawienie dziąseł to sygnał. Poznaj najczęstsze przyczyny, od płytki po choroby, i dowiedz się, kiedy szukać pomocy stomatologa. Sprawdź, jak dbać o dziąsła!
Masz torbiel na dziąśle? Dowiedz się, jak wygląda, jakie daje objawy i czy jest groźna. Poznaj skuteczne metody leczenia i diagnozy. Sprawdź!
Opuchnięte dziąsła to problem. Zrozum przyczyny, znajdź szybką ulgę domowymi sposobami i lekami z apteki. Sprawdź, kiedy konieczna jest wizyta u dentysty.
Odkryj skuteczne i bezpieczne sposoby, jak usunąć klej do protez z dziąseł. Poznaj domowe metody, specjalistyczne produkty i dbaj o zdrowie jamy ustnej.
Ból po wyrwaniu zęba: Dowiedz się, jak długo trwa, co jest normą, a co powinno zaniepokoić. Poznaj skuteczne metody łagodzenia bólu i pielęgnacji rany.
Bolące dziąsła? Poznaj sprawdzone domowe sposoby, skuteczne preparaty z apteki i wskazówki, kiedy iść do stomatologa. Zadbaj o zdrowie dziąseł!
Czy rak dziąsła boli? Nie zawsze! Poznaj wczesne objawy, kiedy ból alarmuje i jak działać. Wczesna diagnoza to klucz do zdrowia. Sprawdź!
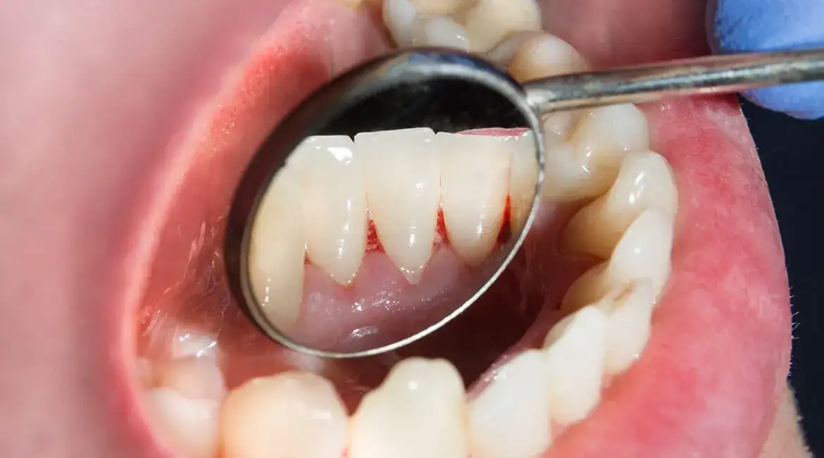
Krwawiące dziąsła? Poznaj sprawdzone domowe sposoby, skuteczne pasty i płyny. Dowiedz się, jak leczyć i zapobiegać problemom z dziąsłami.
Zapalenie dziąseł: poznaj objawy, skuteczne domowe sposoby i leki bez recepty. Sprawdź, kiedy iść do dentysty, by uniknąć paradontozy.
Ropa w dziąśle to infekcja. Dowiedz się, jak złagodzić ból domowymi sposobami, kiedy pilnie iść do dentysty i jakie są metody leczenia.
Złagodź ból i przyspiesz gojenie dziąsła po wyrwaniu zęba. Poznaj sprawdzone preparaty apteczne, domowe sposoby i uniknij suchego zębodołu. Sprawdź, jak dbać o ranę!
Ropa na dziąśle to sygnał infekcji! Dowiedz się, co ją powoduje, jak leczyć i bezpiecznie łagodzić ból przed wizytą u dentysty. Ostrzegamy przed wyciskaniem.
Jak wygląda rak dziąsła? Poznaj wczesne objawy, różnice od aft i paradontozy oraz co robić w razie podejrzenia. Wczesne wykrycie ratuje życie!