Ciąża to wyjątkowy czas, pełen radości i oczekiwania, ale też moment, w którym organizm kobiety przechodzi przez szereg zmian. Jedną z częstych, choć często bagatelizowanych dolegliwości, jest ból dziąseł. Jeśli doświadczasz tego problemu, wiedz, że nie jesteś sama. W tym artykule, jako Kajetan Kaczmarek, chcę Cię uspokoić i pokazać, że istnieją bezpieczne i skuteczne sposoby na złagodzenie tych dolegliwości, a także na zapobieganie poważniejszym problemom zarówno dla Ciebie, jak i dla Twojego maluszka.
Skuteczne sposoby na ból dziąseł w ciąży: kompleksowy przewodnik dla przyszłych mam
- Ból dziąseł w ciąży jest powszechny (35-75% kobiet) i wynika głównie ze zmian hormonalnych, które zwiększają ukrwienie i podatność na stany zapalne.
- W celu złagodzenia dolegliwości bezpieczne są domowe płukanki z soli lub ziołowe (po konsultacji), a także delikatna, ale dokładna higiena jamy ustnej.
- Kluczowe jest stosowanie miękkiej szczoteczki, nici dentystycznej oraz bezalkoholowych płynów do płukania ust, a także dbałość o zbilansowaną dietę.
- Wizyty u stomatologa w ciąży są bezpieczne i zalecane, zwłaszcza w drugim trymestrze, a profesjonalna higienizacja (skaling) jest kluczowa.
- Nieleczone zapalenie dziąseł może zwiększać ryzyko porodu przedwczesnego i niskiej masy urodzeniowej dziecka, dlatego nie należy ignorować problemu.
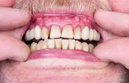
Wrażliwe dziąsła w ciąży: poznaj najważniejsze przyczyny
Wzrost poziomu hormonów, takich jak estrogeny i progesteron, to prawdziwa rewolucja w organizmie przyszłej mamy. Niestety, te zmiany mają wpływ nie tylko na samopoczucie, ale także na tkanki jamy ustnej. Dziąsła stają się bardziej rozpulchnione, wrażliwe i znacznie silniej ukrwione. To właśnie te fizjologiczne modyfikacje sprawiają, że dziąsła są bardziej podatne na podrażnienia i stany zapalne. Statystyki pokazują, że ciążowe zapalenie dziąseł dotyka od 35% do nawet 75% kobiet, a jego objawy najczęściej nasilają się w drugim i trzecim trymestrze ciąży. To naprawdę powszechna dolegliwość, więc jeśli jej doświadczasz, wiedz, że nie jesteś w tym sama.
Zwiększone ukrwienie i rozpulchnienie: naturalna reakcja organizmu
Kiedy mówimy o zwiększonym ukrwieniu i rozpulchnieniu dziąseł, musimy pamiętać, że jest to naturalna reakcja organizmu na wspomniane zmiany hormonalne. Dziąsła stają się bardziej miękkie, ich naczynia krwionośne rozszerzają się, a to wszystko sprawia, że są one znacznie bardziej wrażliwe na wszelkie bodźce. Nawet delikatne szczotkowanie czy nitkowanie może wywołać krwawienie, co często niepokoi przyszłe mamy. Wiem z doświadczenia, że widok krwi na szczoteczce może być alarmujący, ale często jest to właśnie wynik tej naturalnej reakcji organizmu.Płytka nazębna: dlaczego w ciąży jest groźniejsza niż zwykle?
W normalnych warunkach niewielka ilość płytki nazębnej nie zawsze musi prowadzić do poważnego stanu zapalnego. Jednak w ciąży, ze względu na hormonalnie zmienione dziąsła, nawet minimalna ilość bakterii z płytki nazębnej może wywołać silną reakcję zapalną. Co więcej, wiele kobiet w ciąży doświadcza zmian w nawykach żywieniowych większa ochota na słodycze czy częstsze podjadanie między posiłkami to nic niezwykłego. Do tego dochodzą zmiany w składzie śliny, która może mieć mniejsze zdolności buforujące i ochronne. Wszystkie te czynniki sprawiają, że higiena jamy ustnej w ciąży staje się jeszcze bardziej krytyczna.
Pierwsza pomoc w domu: ulga dla bolących dziąseł w ciąży
Kiedy dziąsła bolą, naturalne jest poszukiwanie szybkiej ulgi. Na szczęście, istnieje kilka bezpiecznych domowych sposobów, które mogą przynieść ukojenie. Pamiętaj jednak, aby zawsze zachować ostrożność i w razie wątpliwości skonsultować się z lekarzem lub farmaceutą, zwłaszcza w przypadku ziół.
- Płukanki z soli kuchennej: To jeden z najprostszych i najskuteczniejszych sposobów. Sól działa antyseptycznie i pomaga zmniejszyć obrzęk. Rozpuść jedną łyżeczkę soli kuchennej w szklance ciepłej wody. Płucz jamę ustną delikatnie przez około 30 sekund, 2-3 razy dziennie.
-
Napary ziołowe: Niektóre zioła mają właściwości przeciwzapalne i łagodzące. Do bezpiecznych w ciąży, po konsultacji z lekarzem, należą:
- Rumianek: Znany ze swoich właściwości kojących i przeciwzapalnych.
- Szałwia: Ma silne działanie antyseptyczne i ściągające, ale jej stosowanie w ciąży wymaga ostrożności i zawsze powinno być skonsultowane z lekarzem, ponieważ w dużych ilościach może być niewskazana.
Technika ma znaczenie: jak prawidłowo dbać o higienę, by nie podrażniać dziąseł?
Kluczem do zdrowych dziąseł w ciąży jest bardzo delikatna, ale niezwykle dokładna higiena jamy ustnej. Wiem, że krwawiące dziąsła mogą zniechęcać do szczotkowania, ale to właśnie wtedy higiena jest najważniejsza. Używaj szczoteczki z miękkim włosiem i szczotkuj zęby okrężnymi ruchami, delikatnie masując dziąsła. Unikaj zbyt mocnego dociskania i szorowania, które może tylko pogorszyć sytuację. Pamiętaj, aby poświęcić na szczotkowanie co najmniej dwie minuty, obejmując wszystkie powierzchnie zębów i linię dziąseł.Twoi sprzymierzeńcy w łazience: wybieramy idealną szczoteczkę, pastę i nić dentystyczną
Wybór odpowiednich produktów do higieny jamy ustnej jest w ciąży szczególnie ważny. Oto moje rekomendacje:
- Miękka szczoteczka do zębów: To absolutna podstawa. Wybierz szczoteczkę z bardzo miękkim, gęstym włosiem, która skutecznie usunie płytkę nazębną, nie podrażniając wrażliwych dziąseł. Jeśli używasz szczoteczki elektrycznej, upewnij się, że ma tryb do wrażliwych zębów i dziąseł.
- Nić dentystyczna: Niezbędna do usuwania resztek pokarmu i płytki bakteryjnej z przestrzeni międzyzębowych, gdzie szczoteczka nie dociera. Używaj jej delikatnie, aby nie uszkodzić dziąseł.
- Bezalkoholowe płyny do płukania ust: Alkohol może wysuszać i podrażniać błonę śluzową, co w ciąży jest szczególnie niewskazane. Wybierz płyn bez alkoholu, najlepiej z dodatkiem fluoru, który wzmocni szkliwo, oraz składników łagodzących dziąsła, np. chlorheksydyny (ale tylko krótkotrwale i po konsultacji) lub naturalnych ekstraktów.
Dieta dla zdrowych dziąseł: co jeść, a czego unikać w czasie ciąży?
Dieta ma ogromny wpływ na zdrowie całego organizmu, w tym na dziąsła. W ciąży szczególnie ważne jest, aby unikać nadmiernego spożycia słodyczy i przetworzonej żywności, które sprzyjają rozwojowi płytki nazębnej i próchnicy. Zamiast tego postaw na zbilansowaną dietę bogatą w witaminy i minerały. Warzywa, owoce, pełnoziarniste produkty zbożowe, chude białko i zdrowe tłuszcze to podstawa. Witamina C, obecna w cytrusach czy papryce, wspiera zdrowie dziąseł i ich odporność na infekcje. Pamiętaj, że zdrowe odżywianie to inwestycja w zdrowie Twoje i Twojego dziecka.
Kiedy domowe sposoby nie wystarczą? Sygnały do wizyty u stomatologa
Choć domowe metody mogą przynieść ulgę, są sytuacje, w których konieczna jest wizyta u stomatologa. Nie ignoruj tych sygnałów, ponieważ nieleczone problemy mogą prowadzić do poważniejszych konsekwencji. Zgłoś się do dentysty, jeśli zauważysz:
- Uporczywy ból dziąseł, który nie ustępuje po zastosowaniu domowych sposobów.
- Znaczny obrzęk i zaczerwienienie dziąseł, obejmujący większy obszar.
- Ciągłe krwawienie dziąseł, nawet przy delikatnym dotyku lub bez wyraźnej przyczyny.
- Nieświeży oddech, który utrzymuje się pomimo regularnej higieny.
- Uczucie rozpulchnienia dziąseł lub wrażenie, że zęby są ruchome.
Jak wygląda bezpieczne leczenie stomatologiczne w ciąży?
Wiele przyszłych mam obawia się wizyty u dentysty w ciąży, ale chcę Cię zapewnić, że leczenie stomatologiczne w tym okresie jest bezpieczne i wręcz zalecane. Nieleczone stany zapalne mogą być znacznie groźniejsze niż sama wizyta. Najbezpieczniejszym okresem na planowe zabiegi, takie jak usuwanie kamienia czy leczenie próchnicy, jest drugi trymestr ciąży. W tym czasie ryzyko powikłań jest najmniejsze. Jednak w przypadku silnego bólu, ostrej infekcji czy ropnia, leczenie jest konieczne na każdym etapie ciąży. Stomatolog dobierze bezpieczne środki znieczulające, które nie zaszkodzą dziecku, oraz odpowiednie metody leczenia, minimalizując ryzyko.
Zabiegi, które możesz wykonać bez obaw: skaling i profesjonalna higienizacja
Niektóre zabiegi stomatologiczne są nie tylko bezpieczne, ale wręcz kluczowe dla utrzymania zdrowia jamy ustnej w ciąży. Zdecydowanie zalecam:
- Profesjonalna higienizacja (skaling i piaskowanie): To absolutna podstawa. Regularne usuwanie kamienia nazębnego i osadów jest najważniejszym elementem profilaktyki i leczenia zapalenia dziąseł. Zabieg jest bezbolesny i całkowicie bezpieczny dla Ciebie i dziecka.
- Leczenie próchnicy: Niewielkie ubytki powinny być leczone, aby zapobiec ich pogłębianiu i rozwojowi stanów zapalnych.

Czym jest "guz ciążowy" (nadziąślak) i czy należy się go obawiać?
Czasami w ciąży na dziąśle może pojawić się niewielka, łagodna zmiana rozrostowa, zwana guzem ciążowym lub nadziąślakiem. Zwykle jest to czerwona, miękka narośl, która łatwo krwawi, zwłaszcza podczas szczotkowania. Co ważne, zazwyczaj jest bezbolesna. Najczęściej pojawia się między 2. a 5. miesiącem ciąży i, co jest bardzo uspokajające, w większości przypadków znika samoistnie po porodzie. Jeśli zauważysz taką zmianę, nie panikuj. Jest to łagodna reakcja dziąseł na zmiany hormonalne i nie stanowi zagrożenia dla zdrowia Twojego ani dziecka. Oczywiście, zawsze warto pokazać ją stomatologowi, aby potwierdzić diagnozę i wykluczyć inne schorzenia.
Zdrowie dziąseł a dobro dziecka: dlaczego to takie ważne?
Może się wydawać, że ból dziąseł to tylko drobna niedogodność. Jednak jako specjalista muszę podkreślić, że nieleczone, zaawansowane zapalenie dziąseł (periodontopatie) może stanowić realne ryzyko dla przebiegu ciąży i zdrowia Twojego dziecka. To nie jest tylko kwestia komfortu, ale poważny aspekt zdrowotny, który wymaga uwagi.
Związek między stanem jamy ustnej a ryzykiem porodu przedwczesnego
Badania naukowe jasno wskazują na związek między chorobami przyzębia u matki a zwiększonym ryzykiem porodu przedwczesnego i niskiej masy urodzeniowej dziecka. Jak to możliwe? Bakterie odpowiedzialne za stany zapalne w jamie ustnej mogą przedostawać się do krwiobiegu matki, a stamtąd do łożyska. Tam mogą wywoływać reakcję zapalną, która negatywnie wpływa na rozwój płodu i może prowadzić do przedwczesnego skurczu macicy. To dlatego tak ważne jest, aby nie bagatelizować problemów z dziąsłami i wcześnie podjąć leczenie.
Wpływ infekcji dziąseł na niską masę urodzeniową dziecka
Oprócz ryzyka porodu przedwczesnego, infekcje dziąseł mogą również przyczyniać się do niskiej masy urodzeniowej dziecka. Chroniczny stan zapalny w organizmie matki, wywołany przez bakterie z jamy ustnej, może wpływać na ogólny stan zdrowia i odżywienie płodu. Zapewnienie zdrowej jamy ustnej to jeden z elementów, który możesz kontrolować, aby zminimalizować ryzyko i wspierać prawidłowy rozwój Twojego maluszka. Traktuj to jako część kompleksowej opieki prenatalnej.
Zapobieganie bólowi dziąseł w ciąży: proste kroki do zdrowia
Najlepszym sposobem na uniknięcie problemów z dziąsłami w ciąży jest… zapobieganie! Idealnie, jeśli zadbasz o zdrowie jamy ustnej jeszcze przed planowaną ciążą. Wylecz wszystkie ubytki, usuń kamień nazębny i upewnij się, że Twoje dziąsła są w doskonałej kondycji. Jeśli jednak ciąża jest już faktem, nigdy nie jest za późno, aby wprowadzić proste nawyki, które ochronią Twoje dziąsła.
Złote zasady profilaktyki: proste nawyki, które chronią Twoje dziąsła
Oto kluczowe nawyki, które pomogą Ci utrzymać dziąsła w zdrowiu przez całą ciążę:
- Regularne i dokładne szczotkowanie zębów: Minimum dwa razy dziennie, przez co najmniej dwie minuty. Używaj miękkiej szczoteczki i delikatnych ruchów.
- Używanie nici dentystycznej: Codziennie, aby usunąć płytkę bakteryjną i resztki jedzenia z przestrzeni międzyzębowych.
- Stosowanie bezalkoholowych płynów do płukania ust: Wspomagają higienę i działają antyseptycznie, nie podrażniając dziąseł.
- Zbilansowana dieta: Ogranicz cukry i postaw na produkty bogate w witaminy i minerały.
Przeczytaj również: Torbiel na dziąśle: Jak wygląda, objawy i leczenie? Sprawdź!
Regularne kontrole: jak często odwiedzać stomatologa w trakcie ciąży?
Nawet jeśli nie odczuwasz żadnych dolegliwości, regularne kontrole stomatologiczne w ciąży są niezwykle ważne. Zalecam wizytę u dentysty co najmniej raz w każdym trymestrze, a jeśli masz tendencję do problemów z dziąsłami, nawet częściej. Stomatolog będzie mógł monitorować stan Twojej jamy ustnej, wcześnie wykryć ewentualne problemy i podjąć odpowiednie działania profilaktyczne lub lecznicze. Pamiętaj, że to inwestycja w Twoje zdrowie i zdrowie Twojego dziecka.




