Wczesne rozpoznanie jest kluczowe w walce z rakiem jamy ustnej. Ten artykuł ma za zadanie pomóc Ci zrozumieć i wizualnie zidentyfikować potencjalne objawy tej choroby, co może znacząco zwiększyć szanse na skuteczne leczenie. Skupimy się na tym, co powinno wzbudzić Twój niepokój i kiedy należy pilnie skonsultować się ze specjalistą.
Wczesne rozpoznanie ratuje życie: kluczowe informacje o objawach raka jamy ustnej
- Rak jamy ustnej to drugi najczęstszy nowotwór głowy i szyi w Polsce, często diagnozowany zbyt późno.
- Wczesne objawy to niegojące się ranki, białe lub czerwone plamy (leukoplakia, erytroplakia), guzki i zgrubienia.
- Zaawansowane symptomy obejmują przewlekły ból, trudności w jedzeniu/mówieniu, guzy na szyi i niezamierzoną utratę wagi.
- Najczęstsze lokalizacje to język, dno jamy ustnej i wargi.
- Główne czynniki ryzyka to tytoń, alkohol i wirus HPV.
- W przypadku niepokojących zmian, które utrzymują się ponad 2-3 tygodnie, należy pilnie skonsultować się ze stomatologiem lub laryngologiem.
W Polsce rak jamy ustnej stanowi poważny problem zdrowotny. Jest to drugi, po raku krtani, najczęściej występujący nowotwór złośliwy w rejonie głowy i szyi. Rocznie diagnozuje się ponad 4000 nowych przypadków, a mężczyźni chorują około 3 razy częściej niż kobiety, choć niestety obserwujemy wzrost zachorowań również wśród pań. Szczyt zachorowań przypada na wiek 50-65 lat, ale coraz częściej dotyka on także osoby młodsze. Alarmujący jest fakt, że ponad 50-60% przypadków w Polsce jest diagnozowanych w zaawansowanym stadium (III lub IV). To znacząco pogarsza rokowania podczas gdy przy wczesnym wykryciu (I stadium) wskaźnik 5-letniego przeżycia sięga 80-90%, w stadium zaawansowanym spada on do zaledwie 30-40%. Te liczby jasno pokazują, jak kluczowe jest wczesne rozpoznanie.
Właśnie dlatego regularne samobadanie jamy ustnej jest tak niezwykle ważnym nawykiem profilaktycznym. Jako Kajetan Kaczmarek, zawsze podkreślam moim pacjentom, że to właśnie wczesne wykrycie daje największe szanse na pełne wyleczenie. Proste, comiesięczne oglądanie i dotykanie jamy ustnej może pomóc zauważyć niepokojące zmiany, zanim staną się one zaawansowane. To prosta czynność, która może uratować życie.

Wczesne objawy raka jamy ustnej: co powinno wzbudzić Twój niepokój?
Podczas samobadania jamy ustnej, które najlepiej wykonywać przy dobrym oświetleniu i przed lustrem, zwracaj uwagę na wszelkie nietypowe zmiany. Nie chodzi tylko o ból wiele wczesnych objawów raka jamy ustnej jest bezbolesnych. Szukaj zmian w kolorze, teksturze, obecności guzków, zgrubień czy owrzodzeń, które nie ustępują. Pamiętaj, że każda zmiana utrzymująca się dłużej niż 2-3 tygodnie powinna być skonsultowana z lekarzem.

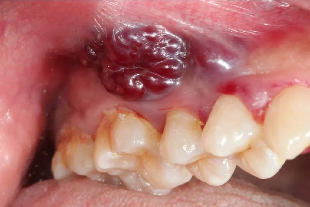
Jednymi z najwcześniejszych i najbardziej podstępnych objawów raka jamy ustnej są białe plamy (leukoplakia) i czerwone plamy (erytroplakia). Są to zmiany przedrakowe, co oznacza, że mogą, ale nie muszą, przekształcić się w nowotwór złośliwy. Leukoplakia to biała lub szarawa plama, której nie da się zetrzeć, często o nierównej powierzchni. Erytroplakia jest znacznie bardziej niebezpieczna to aksamitna, jasno-czerwona plama, która ma znacznie większe ryzyko zezłośliwienia. Obie te zmiany są zazwyczaj bezbolesne, dlatego tak łatwo je zbagatelizować. Jeśli zauważysz taką plamę, która nie znika, koniecznie pokaż ją specjaliście.

Innym bardzo ważnym sygnałem ostrzegawczym są niegojące się owrzodzenia lub ranki w jamie ustnej, które utrzymują się ponad 2-3 tygodnie i mogą krwawić przy dotyku. W przeciwieństwie do typowych aft czy urazów, które goją się stosunkowo szybko, zmiana nowotworowa jest uporczywa. Może wyglądać jak mała ranka, nadżerka, a czasem nawet jak mały kalafiorowaty twór. Jeśli masz wątpliwości, czy to zwykłe skaleczenie, czy coś poważniejszego, zasada jest prosta: jeśli nie goi się w ciągu dwóch, maksymalnie trzech tygodni, należy to zbadać.
Podczas samobadania nie zapominaj o dotyku. Subtelne zgrubienia, guzki lub obrzęki mogą pojawić się na wargach, dziąsłach, wewnętrznej stronie policzków, języku czy podniebieniu. Mogą być twarde lub miękkie, ale co najważniejsze nie znikają. Często są bezbolesne, co sprawia, że łatwo je przeoczyć. Przesuwając palcami po tych obszarach, możesz wyczuć coś, co odbiega od normalnej, gładkiej struktury błony śluzowej. To właśnie te wczesne, dotykowe zmiany są często pierwszym sygnałem.
Niekiedy rak jamy ustnej może objawiać się nietypowymi doznaniami, takimi jak uczucie drętwienia lub mrowienia w obrębie jamy ustnej, języka czy warg. Jeśli takie odczucie utrzymuje się i nie ma wyraźnej przyczyny, jak np. po zabiegu stomatologicznym, może to wskazywać na ucisk lub uszkodzenie nerwów przez rozwijający się nowotwór. Nie lekceważ tego objawu, zwłaszcza jeśli towarzyszą mu inne niepokojące zmiany.
Zaawansowane objawy raka jamy ustnej: kiedy choroba postępuje?
Gdy choroba postępuje, objawy stają się zazwyczaj bardziej nasilone i uporczywe. Wiele z nich może być mylone ze zwykłymi infekcjami, dlatego tak ważne jest, aby zwracać uwagę na ich przewlekły charakter. Jeśli doświadczasz przewlekłego bólu gardła, języka lub pieczenia, które nie ustępuje mimo leczenia, a także nie jest związane z typową infekcją, może to być sygnał zaawansowanej choroby. Ten ból może promieniować do ucha lub innych części twarzy, znacznie obniżając komfort życia.
Zaawansowany nowotwór jamy ustnej często prowadzi do znacznych trudności w codziennym funkcjonowaniu. Mogą pojawić się problemy z żuciem, połykaniem (dysfagia), co prowadzi do unikania niektórych pokarmów i spadku wagi. Zmiany w głosie, takie jak przewlekła chrypka, zmiana barwy głosu, a także problemy z artykulacją i mową, są również częstymi objawami. Wynikają one z zajęcia przez nowotwór struktur odpowiedzialnych za te funkcje, takich jak język, dno jamy ustnej czy krtań.
Jednym z najbardziej niepokojących objawów zaawansowanego raka jamy ustnej jest wyczuwalny, twardy, zazwyczaj niebolesny guz na szyi. Jest to powiększony węzeł chłonny, który świadczy o przerzutach nowotworowych z jamy ustnej. Jeśli wyczujesz taką zmianę, która nie jest bolesna i nie znika, koniecznie zgłoś się do lekarza. To sygnał, że choroba rozprzestrzeniła się poza pierwotne ognisko.
Inne objawy, które mogą świadczyć o zaawansowaniu nowotworu, to szczękościsk, czyli ograniczenie ruchomości żuchwy, co utrudnia otwieranie ust. Może to być spowodowane naciekaniem mięśni żucia przez guz. Niewyjaśnione rozchwianie zębów, które nie jest związane z chorobami przyzębia, również może wskazywać na zajęcie kości przez nowotwór. Te objawy często są zauważane przez stomatologa podczas rutynowej kontroli.
W zaawansowanym stadium choroby mogą pojawić się również ogólnoustrojowe objawy, takie jak niezamierzona utrata masy ciała i ogólne osłabienie. Nowotwór zużywa dużo energii organizmu, co prowadzi do wyniszczenia. Jeśli tracisz wagę bez wyraźnej przyczyny, a do tego czujesz się przewlekle zmęczony i osłabiony, w połączeniu z innymi objawami z jamy ustnej, to silny sygnał do natychmiastowej konsultacji medycznej.

Gdzie najczęściej pojawia się rak jamy ustnej?
Rak jamy ustnej może pojawić się w wielu miejscach, ale istnieją pewne lokalizacje, które są statystycznie bardziej narażone. W mojej praktyce widzę, że najczęściej nowotwór ten rozwija się na:
- bocznej powierzchni języka,
- dnie jamy ustnej,
- wargach (szczególnie dolnej),
- dziąsłach,
- błonie śluzowej policzków.
Rak języka jest najczęstszą lokalizacją raka jamy ustnej. Zmiany najczęściej pojawiają się na bocznej powierzchni języka, ale mogą również wystąpić na jego grzbiecie lub spodzie. Podczas samobadania zwróć szczególną uwagę na te obszary szukaj owrzodzeń, zgrubień, białych lub czerwonych plam, które nie ustępują. Pamiętaj, aby dokładnie wysunąć język i obejrzeć go z każdej strony, a także unieść go do góry, aby zbadać jego spód.
Dno jamy ustnej to kolejna częsta, ale często trudna do samodzielnego zbadania lokalizacja. To obszar pod językiem, gdzie gromadzi się ślina. Zmiany w tym miejscu mogą być początkowo małe i ukryte, dlatego ważne jest, aby podczas samobadania unieść język i dokładnie obejrzeć i dotknąć ten rejon. Niestety, ze względu na bliskość dużych naczyń krwionośnych i nerwów, nowotwory dna jamy ustnej mogą szybko się rozprzestrzeniać.Rak wargi, zwłaszcza dolnej, jest również często spotykany. Głównym czynnikiem ryzyka w tym przypadku jest przewlekła ekspozycja na promieniowanie UV, dlatego często dotyka osoby pracujące na zewnątrz. Zmiany na wargach mogą wyglądać jak niegojąca się ranka, owrzodzenie, strup lub zgrubienie. Jeśli masz na wardze zmianę, która nie goi się przez dłuższy czas, niezwłocznie pokaż ją lekarzowi.
Zmiany na dziąsłach i błonie śluzowej policzków bywają łatwo mylone ze stanem zapalnym, urazami od szczoteczki czy źle dopasowanej protezy. Dlatego tak istotne jest, aby być czujnym na ich uporczywość. Jeśli zauważysz białe lub czerwone plamy, zgrubienia, owrzodzenia na dziąsłach lub wewnętrznej stronie policzków, które nie ustępują po 2-3 tygodniach, mimo ewentualnego leczenia przeciwzapalnego, nie bagatelizuj tego. Konsultacja ze stomatologiem lub laryngologiem jest w takiej sytuacji niezbędna.
Czynniki ryzyka raka jamy ustnej: co powinieneś wiedzieć?
Zrozumienie czynników ryzyka raka jamy ustnej jest kluczowe dla skutecznej profilaktyki. Wiele z nich to czynniki, na które mamy bezpośredni wpływ, co daje nam realną możliwość zmniejszenia ryzyka zachorowania. Jako Kajetan Kaczmarek, zawsze staram się uświadamiać moich pacjentów, że świadome unikanie tych czynników to pierwszy krok do zdrowia.
Niekwestionowanymi głównymi czynnikami ryzyka są palenie tytoniu i nadużywanie alkoholu. Dotyczy to wszelkich form tytoniu papierosów, cygar, fajek, a także tytoniu do żucia. Alkohol, szczególnie mocne alkohole, potęguje to ryzyko. Co gorsza, połączenie palenia tytoniu i nadużywania alkoholu drastycznie zwiększa ryzyko zachorowania na raka jamy ustnej nawet 15-krotnie! Te substancje uszkadzają błonę śluzową jamy ustnej, prowadząc do mutacji genetycznych i rozwoju nowotworu. Moim zdaniem, rzucenie palenia i ograniczenie spożycia alkoholu to dwie najważniejsze rzeczy, jakie można zrobić dla swojego zdrowia w kontekście profilaktyki raka jamy ustnej.
Coraz większą rolę jako przyczynę nowotworów jamy ustnej, zwłaszcza u młodszych osób, odgrywa wirus brodawczaka ludzkiego (HPV), a konkretnie jego onkogenne typy, zwłaszcza HPV-16. Wirus ten jest przenoszony drogą płciową, w tym poprzez kontakty oralne. Zakażenie HPV może prowadzić do rozwoju raka w jamie ustnej i gardle. Szczepienia przeciwko HPV, dostępne również dla chłopców i młodych mężczyzn, stają się ważnym elementem profilaktyki.
Inne czynniki ryzyka obejmują przewlekłe drażnienie błony śluzowej, na przykład przez źle dopasowane protezy zębowe, ostre krawędzie zębów czy przewlekłe stany zapalne. Długotrwałe podrażnienie może prowadzić do zmian komórkowych. Ogólna zła higiena jamy ustnej oraz dieta uboga w warzywa i owoce, a bogata w żywność wysoko przetworzoną, również zwiększają ryzyko. Niedobory witamin i minerałów mogą osłabiać odporność i zdolność organizmu do naprawy uszkodzonych komórek. W przypadku raka wargi dolnej, istotnym czynnikiem ryzyka jest także nadmierna ekspozycja na promieniowanie UV.
Zauważyłeś niepokojące zmiany? Co robić krok po kroku?
Jeśli podczas samobadania lub w codziennym życiu zauważyłeś którąkolwiek z opisanych przeze mnie niepokojących zmian, najważniejsze jest, aby nie panikować, ale działać szybko i zdecydowanie. Pamiętaj, że wczesna diagnoza to podstawa sukcesu w leczeniu raka jamy ustnej.
Pierwszym krokiem jest pilna konsultacja z lekarzem. Najlepiej udać się do stomatologa, który ma doświadczenie w diagnostyce zmian w jamie ustnej, lub bezpośrednio do laryngologa (otolaryngologa). Ci specjaliści są w stanie ocenić charakter zmiany i zdecydować o dalszych krokach. W razie potrzeby zostaniesz skierowany do onkologa. Nie zwlekaj z wizytą każdy dzień ma znaczenie.
Podstawą diagnostyki jest dokładne badanie lekarskie, podczas którego lekarz obejrzy i palpacyjnie zbada całą jamę ustną oraz szyję. Kluczowym elementem jest jednak pobranie wycinka (biopsja) z podejrzanej zmiany. Jest to krótki, zazwyczaj bezbolesny zabieg, wykonywany w znieczuleniu miejscowym. Pobrany materiał jest następnie wysyłany do badania histopatologicznego, które pozwala na postawienie ostatecznej diagnozy i określenie typu nowotworu.
Jeśli diagnoza raka zostanie potwierdzona, lekarz zleci dodatkowe badania obrazowe w celu oceny zaawansowania choroby. Mogą to być tomografia komputerowa (TK), rezonans magnetyczny (MRI) jamy ustnej i szyi, a także USG szyi w celu oceny węzłów chłonnych. Badania te pomagają określić wielkość guza, jego zasięg oraz ewentualne przerzuty, co jest kluczowe dla zaplanowania odpowiedniego leczenia.
Leczenie raka jamy ustnej jest złożone i zależy od stadium zaawansowania choroby. Główne metody to leczenie chirurgiczne (usunięcie guza), radioterapia (naświetlanie) oraz chemioterapia, często stosowane w skojarzeniu. Jak już wspomniałem, rokowania są znacznie lepsze, gdy choroba zostanie wykryta we wczesnym stadium. W Polsce działa również "Program profilaktyki nowotworów głowy i szyi", skierowany do osób z grupy ryzyka w wieku 40-65 lat, który oferuje bezpłatne badania przesiewowe i edukację. Warto z niego skorzystać.




