
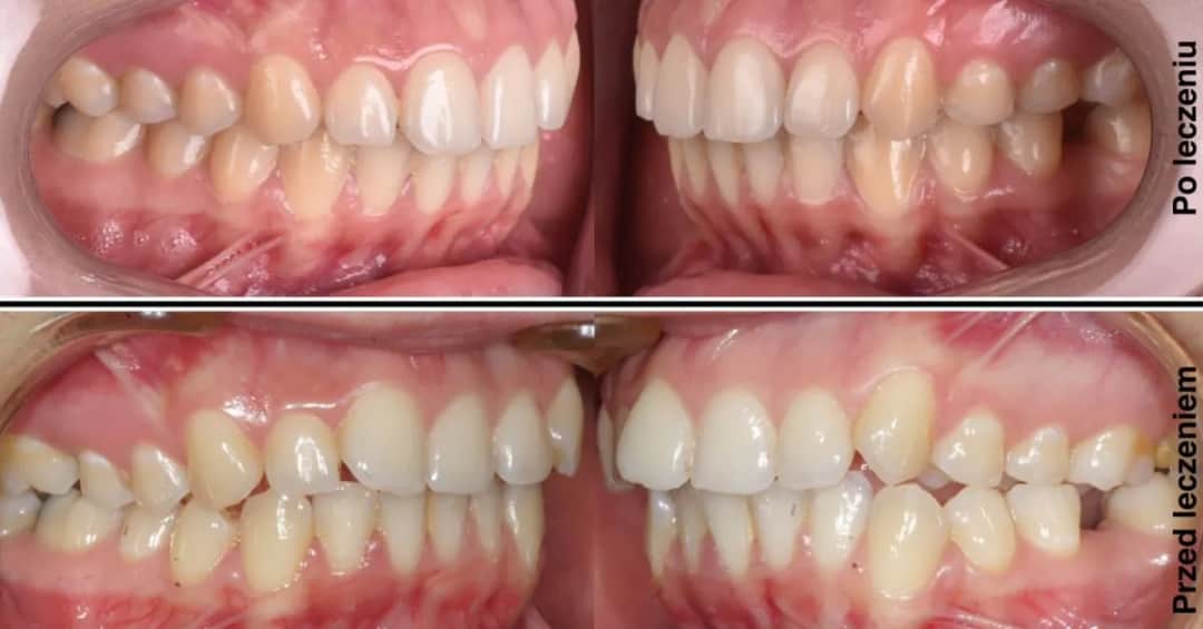
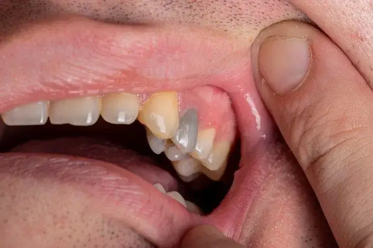
Sztuczny aparat na zęby poznaj domowe metody, ale przede wszystkim ryzyka! Odkryj, jak "fake braces" niszczą zęby i znajdź bezpieczne alternatywy.
Jestem Kajetan Kaczmarek, specjalista w dziedzinie zdrowia z ponad 10-letnim doświadczeniem w pracy z pacjentami oraz w badaniach naukowych. Moja wiedza obejmuje szeroki zakres tematów, w tym profilaktykę zdrowotną, zdrowe odżywianie oraz nowoczesne metody leczenia. Ukończyłem studia z zakresu medycyny na renomowanej uczelni, co pozwoliło mi zdobyć niezbędne kwalifikacje i umiejętności, które wykorzystuję w codziennej praktyce. Pisząc dla dentomed.com.pl, dążę do dzielenia się rzetelnymi i aktualnymi informacjami, które mogą pomóc innym w podejmowaniu świadomych decyzji dotyczących zdrowia. Moim celem jest nie tylko informowanie, ale także inspirowanie do dbania o siebie i swoich bliskich. Wierzę, że odpowiednia edukacja zdrowotna to klucz do lepszego życia, dlatego staram się przedstawiać złożone zagadnienia w przystępny sposób, aby każdy mógł z nich skorzystać.

Sztuczny aparat na zęby poznaj domowe metody, ale przede wszystkim ryzyka! Odkryj, jak "fake braces" niszczą zęby i znajdź bezpieczne alternatywy.

Gdzie wyrzucić tubkę po paście do zębów? Rozwiąż dylemat żółty czy czarny kosz! Sprawdź prosty przewodnik segregacji kartonika, tubki i nakrętki.

Obawiasz się zastrzyku w dziąsło? Sprawdź, jak nowoczesna stomatologia minimalizuje ból. Poznaj techniki, objawy po znieczuleniu i porady na lęk.

Alkohol przed dentystą? Sprawdź, jak wpływa na znieczulenie, krwawienie i gojenie. Dowiedz się, ile czasu musisz zachować abstynencję dla bezpieczeństwa.

Szukasz szybkiej ulgi od bolesnych aft? Odkryj skuteczne preparaty apteczne, sprawdzone domowe sposoby i porady dietetyczne. Dowiedz się, kiedy iść do lekarza!

Lakowanie zębów od kiedy? Sprawdź optymalny wiek na lakowanie szóstek, siódemek i zębów mlecznych. Poznaj harmonogram, koszty i refundację NFZ.

Czy aparat ortodontyczny zmienia rysy twarzy? Dowiedz się, jak wpływa na profil, usta i symetrię. Rozwiej mity i poznaj realne efekty leczenia.

Sprawdź, ile zarabia dentysta na NFZ (6-12 tys. brutto). Poznaj wpływ doświadczenia, lokalizacji i porównaj zarobki z prywatną praktyką. Dowiedz się, czy to się opłaca!

Spuchnięte dziąsło? Odkryj domowe sposoby na ból i opuchliznę, sprawdzone preparaty z apteki oraz kiedy pilnie udać się do dentysty. Szybka ulga!

Opryszczkowe zapalenie jamy ustnej: poznaj objawy u dzieci i dorosłych, dowiedz się, jak rozpoznać pierwsze sygnały i skutecznie łagodzić ból.