
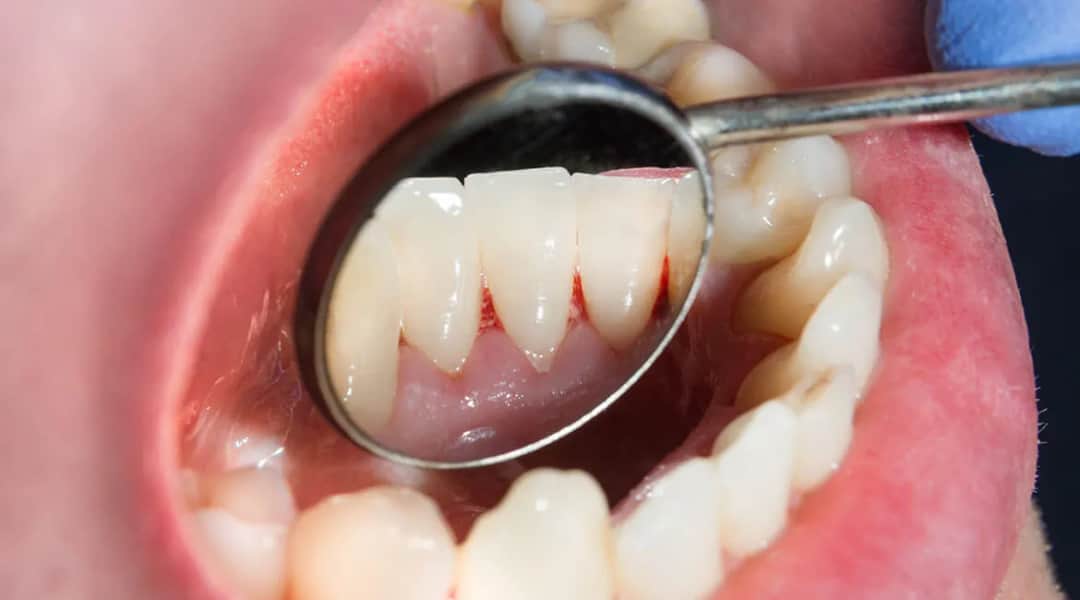
Krwawiące dziąsła? Poznaj sprawdzone domowe sposoby, skuteczne pasty i płyny. Dowiedz się, jak leczyć i zapobiegać problemom z dziąsłami.
Jestem Kajetan Kaczmarek, specjalista w dziedzinie zdrowia z ponad 10-letnim doświadczeniem w pracy z pacjentami oraz w badaniach naukowych. Moja wiedza obejmuje szeroki zakres tematów, w tym profilaktykę zdrowotną, zdrowe odżywianie oraz nowoczesne metody leczenia. Ukończyłem studia z zakresu medycyny na renomowanej uczelni, co pozwoliło mi zdobyć niezbędne kwalifikacje i umiejętności, które wykorzystuję w codziennej praktyce. Pisząc dla dentomed.com.pl, dążę do dzielenia się rzetelnymi i aktualnymi informacjami, które mogą pomóc innym w podejmowaniu świadomych decyzji dotyczących zdrowia. Moim celem jest nie tylko informowanie, ale także inspirowanie do dbania o siebie i swoich bliskich. Wierzę, że odpowiednia edukacja zdrowotna to klucz do lepszego życia, dlatego staram się przedstawiać złożone zagadnienia w przystępny sposób, aby każdy mógł z nich skorzystać.

Krwawiące dziąsła? Poznaj sprawdzone domowe sposoby, skuteczne pasty i płyny. Dowiedz się, jak leczyć i zapobiegać problemom z dziąsłami.

Cierpisz na ból zęba? Dowiedz się, kiedy dentysta NFZ musi Cię przyjąć i jak znaleźć ostry dyżur. Poznaj prawa pacjenta i uzyskaj szybką pomoc.

Zgorzel zęba jest uleczalna! Poznaj skuteczne metody leczenia kanałowego i dowiedz się, jak uratować ząb. Uniknij powikłań. Sprawdź nasz poradnik.

Czym płukać usta na bakterie? Poznaj skuteczne płukanki apteczne (chlorheksydyna, olejki) i domowe (sól, zioła, soda). Sprawdź, jak stosować i czego unikać!

Ile zarabia dentysta na godzinę w Polsce? Poznaj realne stawki od 80 do 1000+ zł, czynniki wpływające na zarobki i ukryte koszty prowadzenia gabinetu. Sprawdź!

Aparat tylko na górne zęby? Sprawdź, kiedy to możliwe, jakie są ryzyka i koszty. Poznaj opinię eksperta i przygotuj się do wizyty u ortodonty.

Zapalenie dziąseł: poznaj objawy, skuteczne domowe sposoby i leki bez recepty. Sprawdź, kiedy iść do dentysty, by uniknąć paradontozy.

Jak bezpiecznie usunąć ruszający się mleczak w domu? Poznaj sprawdzone metody, "czerwone flagi" i porady, by uniknąć bólu i stresu.

Grzybica jamy ustnej: do jakiego lekarza? Znajdź odpowiedniego specjalistę, poznaj objawy, przyczyny i skuteczne leczenie. Działaj szybko!

Chcesz wybielić zęby? Poznaj profesjonalne metody u dentysty: lampą, laserem, nakładkowo. Sprawdź koszty, bezpieczeństwo, efekty i jak dbać o uśmiech.