Ile kosztuje aparat ruchomy? Ceny, refundacja NFZ i jak oszczędzić.
Ile kosztuje aparat ruchomy na zęby? Poznaj szczegółowe ceny, możliwości refundacji z NFZ (do 12 lat) i ukryte koszty. Dowiedz się, jak mądrze zaplanować budżet.
Ile kosztuje aparat ruchomy na zęby? Poznaj szczegółowe ceny, możliwości refundacji z NFZ (do 12 lat) i ukryte koszty. Dowiedz się, jak mądrze zaplanować budżet.
Stomatolog czy dentysta? Dowiedz się, kto leczy jamę ustną i do jakiego specjalisty pójść z Twoim problemem. Poznaj kluczowe specjalizacje!
Dieta po wyrwaniu zęba to klucz do szybkiego gojenia. Dowiedz się, co jeść, by uniknąć bólu i powikłań, jak suchy zębodół. Praktyczne wskazówki.
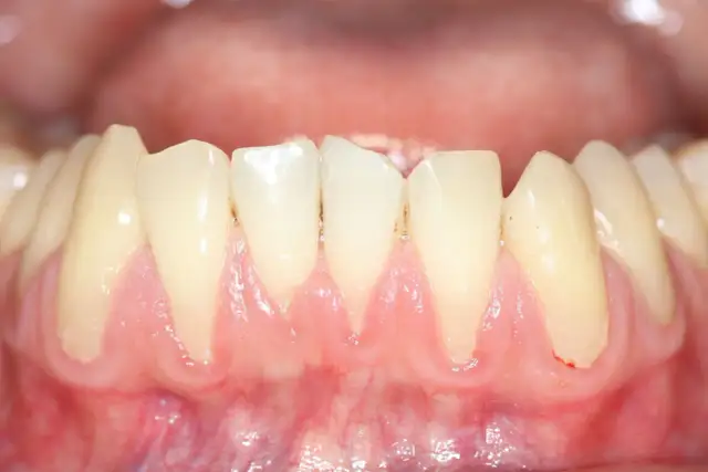
Co na zapalenie dziąseł? Odkryj domowe sposoby, apteczne preparaty i profesjonalne leczenie. Poznaj przyczyny, objawy i skuteczną profilaktykę. Sprawdź!
Szukasz dentysty na NFZ? Sprawdź, jak znaleźć gabinet, co wyleczysz bezpłatnie i jak uzyskać pomoc w nagłym bólu zęba. Kompletny przewodnik po stomatologii NFZ.
Ile trzeba nosić aparat na zęby? Sprawdź, od czego zależy czas leczenia (1,5-2,5 roku), rola wieku, wady i retencji. Dowiedz się, jak uniknąć opóźnień!
Porównaj szczoteczki manualne, elektryczne i soniczne. Poznaj ich działanie, skuteczność, funkcje i koszty. Wybierz idealną dla siebie!
Po operacji zaćmy wizyta u dentysty wymaga ostrożności. Sprawdź, kiedy bezpiecznie zaplanować zabiegi (zalecane 4-6 tygodni) i co robić w nagłych sytuacjach. Uniknij powikłań!
Picie kawy po wyrwaniu zęba to ryzyko. Poznaj zasady, by uniknąć suchego zębodołu i krwawienia. Sprawdź, kiedy i jak bezpiecznie wrócić do ulubionego napoju.
Ból po wyrwaniu zęba to norma, ale kiedy martwić się powikłaniami? Sprawdź, jak długo boli, jak sobie radzić i kiedy iść do dentysty.
Zastanawiasz się, ile trwa leczenie ortodontyczne i samo zakładanie aparatu? Poznaj średni czas, czynniki wpływające na długość terapii i przebieg wizyty. Sprawdź!
Opanuj technikę mycia zębów szczoteczką soniczną! Poznaj instrukcję krok po kroku, unikaj 7 najczęstszych błędów i ciesz się zdrowym uśmiechem. Sprawdź, jak!
Opryszczka na ustach a dentysta? Dowiedz się, dlaczego wizyta z aktywną opryszczką jest ryzykowna dla Ciebie i innych. Sprawdź, kiedy bezpiecznie iść do stomatologa.
Bolą Cię dziąsła w ciąży? Odkryj bezpieczne płukanki domowe i apteczne. Sprawdź, czego unikać i jak dbać o higienę, by ulżyć sobie i dziecku.
Wybierz idealną szczoteczkę Philips Sonicare! Porównujemy serie Prestige, DiamondClean i ProtectiveClean. Znajdź model dopasowany do Twoich potrzeb i budżetu.
Rak dna jamy ustnej: poznaj wczesne objawy i czynniki ryzyka. Dowiedz się, kiedy szukać pomocy i jak wygląda diagnostyka. Klucz do zdrowia.
Sprawdź pełny koszt aparatu na zęby: od diagnostyki po retencję. Poznaj ceny różnych typów, ukryte wydatki i opcje finansowania. Zaplanuj budżet!
Rozpoznaj ząbkowanie po wyglądzie dziąseł i innych objawach. Dowiedz się, jak ulżyć dziecku w bólu i kiedy iść do lekarza. Sprawdź nasz poradnik!
Jak usunąć kamień nazębny? Poznaj skuteczne metody profesjonalne i zweryfikuj domowe sposoby. Dowiedz się, jak zapobiegać i dbać o zdrowy uśmiech!
Kiedy pierwsza wizyta u dentysty? Poznaj zalecenia PTSD, jak przygotować dziecko i czego się spodziewać. Zbuduj zdrowy uśmiech od początku!
Infekcja zęba to nie tylko ból. Poznaj objawy ogólnoustrojowe, ryzyko sepsy i ropnia mózgu. Sprawdź, kiedy chory ząb zagraża życiu i jak reagować.
Ile kosztuje plomba dentystyczna? Poznaj cennik wypełnień prywatnych i na NFZ. Dowiedz się, co wpływa na cenę i jak uniknąć ukrytych kosztów leczenia.
Dowiedz się, jak wygląda zakładanie aparatu ortodontycznego krok po kroku. Poznaj etapy, rodzaje, koszty i sprawdź, czy boli. Przygotuj się na leczenie!
Odkryj nietypowe objawy H. pylori w jamie ustnej: nieświeży oddech, afty, metaliczny posmak. Dowiedz się, jak zdiagnozować i skutecznie leczyć problem.
Zapalenie dziąseł: poznaj objawy, od wczesnych po zaawansowane. Dowiedz się, kiedy szukać pomocy stomatologa i jak skutecznie chronić dziąsła.
Ból, pieczenie, afty? Poznaj kluczowe objawy zapalenia jamy ustnej i dowiedz się, kiedy natychmiast skonsultować się ze specjalistą. Nie ignoruj sygnałów!
Poznaj pełny koszt leczenia ortodontycznego w Polsce! Analizujemy ceny aparatów, wizyt, diagnostyki i ukryte wydatki. Sprawdź, jak zaplanować budżet.