Zgorzel zęba, czyli martwica miazgi, to stan, który dla wielu pacjentów brzmi jak wyrok. Wiem, że perspektywa utraty zęba lub skomplikowanego leczenia może budzić niepokój. Chcę jednak od razu uspokoić: choć problem jest poważny i wymaga natychmiastowej interwencji, nowoczesna stomatologia oferuje skuteczne rozwiązania, które pozwalają uratować ząb i uniknąć poważnych powikłań. W tym artykule wyjaśnię, czym jest zgorzel, jak ją rozpoznać i co najważniejsze jak ją skutecznie wyleczyć.
Zgorzel zęba jest uleczalna poznaj skuteczne metody ratowania zęba i uniknij powikłań
- Zgorzel zęba, czyli martwica miazgi, jest stanem uleczalnym, pod warunkiem szybkiej interwencji stomatologicznej.
- Główną przyczyną zgorzeli jest zaawansowana, nieleczona próchnica, a jej objawy obejmują silny ból, zmianę koloru zęba i nieprzyjemny zapach.
- Ustąpienie bólu nie oznacza wyleczenia, a jedynie obumarcie nerwów, co jest sygnałem postępującej infekcji.
- Podstawową i najskuteczniejszą metodą leczenia jest leczenie kanałowe (endodontyczne), często wspomagane mikroskopem.
- Nieleczona zgorzel może prowadzić do poważnych powikłań miejscowych (ropnie, zapalenie okostnej) oraz ogólnoustrojowych (np. sepsa, zapalenie mięśnia sercowego).
- W ostateczności, gdy ząb jest zbyt zniszczony, konieczna może być jego ekstrakcja.
Co to jest zgorzel zęba i dlaczego nie wolno jej ignorować
Zgorzel zęba to nic innego jak martwica miazgi żywej tkanki znajdującej się wewnątrz zęba, zawierającej nerwy, naczynia krwionośne i limfatyczne. Dochodzi do niej w wyniku zaawansowanej infekcji bakteryjnej, która prowadzi do obumarcia miazgi. Z mojego doświadczenia wiem, że wielu pacjentów bagatelizuje ten problem, zwłaszcza gdy ból ustaje. To jednak poważny błąd! Martwa miazga staje się doskonałą pożywką dla bakterii beztlenowych, które namnażają się i produkują toksyny. Jest to stan wymagający natychmiastowej interwencji stomatologicznej, ale co najważniejsze jest to problem uleczalny, a wczesne działanie pozwala uratować ząb.
Jak cichy wróg atakuje twój ząb? Główne przyczyny powstawania zgorzeli
Zgorzel zęba rzadko pojawia się bez przyczyny. Najczęściej jest to konsekwencja długotrwałych, ignorowanych problemów. Oto główne powody, dla których może rozwinąć się martwica miazgi:
- Zaawansowana, nieleczona próchnica: To zdecydowanie najczęstsza przyczyna. Kiedy próchnica jest tak głęboka, że bakterie przedostają się do komory zęba i kanałów korzeniowych, infekują miazgę, prowadząc do jej stanu zapalnego, a w konsekwencji do martwicy.
- Urazy mechaniczne zęba: Silne uderzenie, pęknięcie lub złamanie zęba może uszkodzić naczynia krwionośne i nerwy w miazdze, prowadząc do jej obumarcia, nawet jeśli nie ma widocznej próchnicy.
- Nieprawidłowo przeprowadzone wcześniejsze leczenie stomatologiczne: Czasami, choć rzadko, zdarza się, że miazga ulega martwicy po głębokim wypełnieniu, jeśli podczas zabiegu doszło do jej podrażnienia lub pozostawiono resztki zainfekowanej tkanki.
Czy to na pewno zgorzel? Objawy, które powinny zapalić czerwoną lampkę
Rozpoznanie zgorzeli na wczesnym etapie jest kluczowe. Zwróć uwagę na następujące objawy, które powinny skłonić Cię do natychmiastowej wizyty u stomatologa:
- Silny, pulsujący ból: Często nasila się przy nagryzaniu, dotyku, a także pod wpływem zmian temperatury (szczególnie ciepła). Ból może być trudny do zlokalizowania i promieniować.
- Zmiana koloru zęba: Ząb ze zgorzelą często staje się ciemniejszy, przybierając odcień siny, szary, a nawet brązowy. To efekt rozkładu hemoglobiny z obumarłych naczyń krwionośnych.
- Nieprzyjemny zapach i posmak z ust: Bakterie beztlenowe produkują gazy gnilne, które mogą być wyczuwalne jako nieświeży oddech lub nieprzyjemny posmak.
- Opuchlizna dziąsła lub policzka: Jeśli infekcja rozprzestrzeni się poza wierzchołek korzenia, może dojść do powstania ropnia, objawiającego się obrzękiem i tkliwością.
- Nadwrażliwość na dotyk: Ząb może być bardzo wrażliwy na opukiwanie lub nagryzanie.
Ból, który nagle znika dlaczego to najgorszy możliwy scenariusz?
Wielu moich pacjentów opowiada mi historię, jak silny ból zęba nagle ustąpił, co uznali za dobrą wiadomość. Niestety, w przypadku zgorzeli jest to zazwyczaj najgorszy możliwy scenariusz. Ustąpienie bólu oznacza, że nerwy w miazdze całkowicie obumarły. Ząb przestaje reagować na bodźce, a pacjent odczuwa ulgę. To jednak tylko pozorna poprawa! Infekcja bakteryjna wewnątrz zęba nadal postępuje, rozprzestrzeniając się w głąb tkanek okołowierzchołkowych, a nawet do kości. Brak bólu nie jest sygnałem wyleczenia, lecz raczej ostrzeżeniem, że problem stał się jeszcze bardziej podstępny i może prowadzić do poważniejszych powikłań.
Zgorzel otwarta vs. zamknięta: która jest groźniejsza dla twojego zdrowia?
W stomatologii rozróżniamy dwa główne typy zgorzeli, które różnią się przebiegiem i objawami:
- Zgorzel otwarta: Występuje, gdy gazy gnilne produkowane przez bakterie mają ujście, najczęściej przez duży ubytek próchnicowy w zębie. Dzięki temu ciśnienie wewnątrz zęba nie narasta tak szybko, a ból jest zazwyczaj mniejszy lub ma charakter przewlekły, tępy. Nie oznacza to jednak, że jest mniej groźna infekcja nadal postępuje, ale w bardziej "cichy" sposób.
- Zgorzel zamknięta: To sytuacja, w której gazy gnilne nie mają ujścia, np. gdy ząb jest szczelnie zamknięty plombą, a infekcja rozwija się pod nią. W takim przypadku gazy gromadzą się w komorze zęba, powodując ogromny ból, silne ciśnienie i często obrzęk. Ten typ zgorzeli jest zazwyczaj bardziej bolesny i wymaga pilniejszej interwencji, aby ulżyć pacjentowi i zapobiec rozprzestrzenianiu się infekcji.
Niezależnie od typu, obie formy zgorzeli wymagają leczenia, ponieważ stanowią zagrożenie dla zdrowia całego organizmu.

Jak dentysta diagnozuje zgorzel w gabinecie
Diagnoza zgorzeli zęba to proces, który wymaga połączenia doświadczenia klinicznego stomatologa z nowoczesnymi narzędziami diagnostycznymi. Jako Kajetan Kaczmarek zawsze podkreślam, że precyzyjna diagnoza to podstawa skutecznego leczenia. Bez niej trudno o sukces.
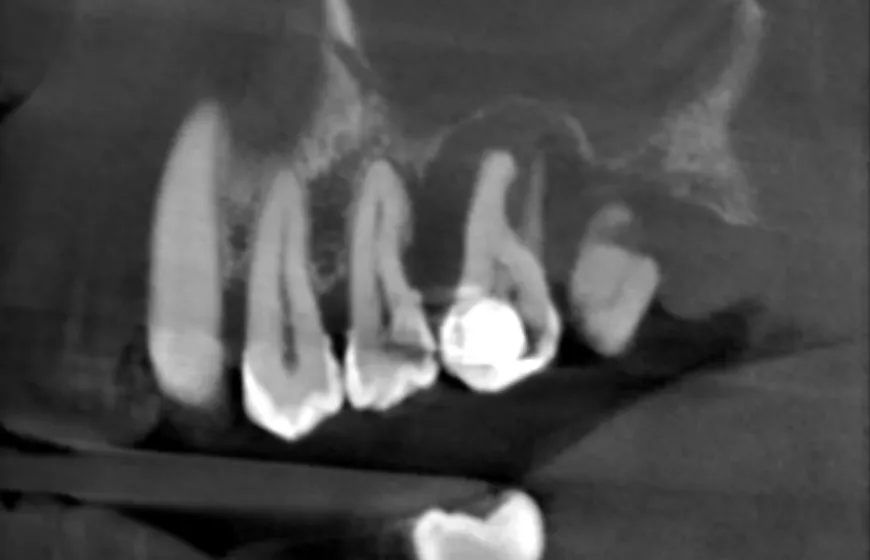
Rola zdjęcia RTG: co lekarz widzi na prześwietleniu?
Zdjęcie rentgenowskie zęba jest absolutnie kluczowe w diagnostyce zgorzeli. To właśnie na nim stomatolog może zobaczyć to, co niewidoczne gołym okiem. Na prześwietleniu szukamy charakterystycznych zmian, takich jak:
- Zmiany w okolicy wierzchołka korzenia: Zgorzel często prowadzi do powstania stanu zapalnego tkanek okołowierzchołkowych, co na RTG objawia się jako rozrzedzenie kości (tzw. przejaśnienie okołowierzchołkowe). Może to być ziarniniak lub torbiel.
- Ocena stanu kanałów korzeniowych: Zdjęcie pozwala ocenić liczbę, kształt i przebieg kanałów, co jest niezwykle ważne przy planowaniu leczenia kanałowego.
- Stopień zniszczenia zęba: Widzimy, jak głęboko sięga próchnica i czy ząb jest jeszcze możliwy do uratowania.
Dzięki RTG mogę dokładnie ocenić rozległość infekcji i zaplanować optymalny plan leczenia.
Wywiad z pacjentem: o co zapyta cię stomatolog i dlaczego szczere odpowiedzi są kluczowe?
Mimo zaawansowanej technologii, żaden sprzęt nie zastąpi rozmowy z pacjentem. Szczegółowy wywiad to podstawa! Zawsze pytam o:
- Charakter bólu: Kiedy się pojawił, jak jest intensywny, czy promieniuje, co go nasila, a co łagodzi.
- Historię leczenia: Czy ząb był już leczony, czy były jakieś urazy.
- Ogólny stan zdrowia: Choroby przewlekłe, przyjmowane leki, alergie.
Szczere i dokładne odpowiedzi są kluczowe, ponieważ pomagają mi stworzyć pełny obraz sytuacji, odróżnić zgorzel od innych schorzeń i postawić prawidłową diagnozę. Pamiętaj, że każdy szczegół ma znaczenie dla Twojego zdrowia.

Zgorzel zęba jest uleczalna nowoczesne metody ratowania zęba
Gdy diagnoza zgorzeli zostanie potwierdzona, najważniejsze jest podjęcie odpowiedniego leczenia. Chcę podkreślić, że w większości przypadków ząb ze zgorzelą można skutecznie uratować, unikając jego ekstrakcji. To dobra wiadomość dla każdego pacjenta!
Leczenie kanałowe (endodoncja): złoty standard w walce ze zgorzelą
Leczenie kanałowe, czyli endodoncja, to bez wątpienia złoty standard w walce ze zgorzelą. Jest to jedyna skuteczna metoda, która pozwala na usunięcie źródła infekcji z wnętrza zęba i zachowanie go w jamie ustnej. Moim celem zawsze jest ratowanie naturalnych zębów pacjentów, a leczenie kanałowe daje ku temu ogromne możliwości. Dzięki niemu ząb, który w innym przypadku musiałby zostać usunięty, może służyć jeszcze przez wiele lat.
Jak wygląda leczenie kanałowe krok po kroku? Bez tajemnic i bez strachu
Wiem, że perspektywa leczenia kanałowego może budzić obawy, dlatego chcę wyjaśnić, na czym ono polega. To wieloetapowy, precyzyjny zabieg, który ma na celu dokładne oczyszczenie i zabezpieczenie wnętrza zęba. Poniżej przedstawiam poszczególne kroki, abyś wiedział, czego się spodziewać.
Krok 1: otwarcie zęba i usunięcie źródła infekcji
Pierwszym etapem leczenia jest otwarcie komory zęba. Stomatolog, po zastosowaniu znieczulenia, tworzy niewielki otwór w koronie zęba, aby uzyskać bezpośredni dostęp do zainfekowanej miazgi oraz kanałów korzeniowych. To pozwala na usunięcie martwej tkanki i bakterii, które są źródłem problemu. Ten krok jest kluczowy, aby rozpocząć proces dezynfekcji i przygotowania kanałów.
Krok 2: precyzyjne czyszczenie i dezynfekcja kanałów korzeniowych
To serce całego leczenia. Za pomocą specjalistycznych narzędzi (pilników endodontycznych) stomatolog dokładnie oczyszcza kanały korzeniowe z resztek martwej miazgi, bakterii i toksyn. Każdy kanał jest opracowywany, aby uzyskać odpowiedni kształt i rozmiar. Równocześnie kanały są obficie płukane środkami antyseptycznymi, takimi jak podchloryn sodu, które skutecznie eliminują drobnoustroje i dezynfekują wnętrze zęba. Ten etap jest czasochłonny i wymaga ogromnej precyzji, aby zapewnić pełne usunięcie infekcji.
Krok 3: szczelne wypełnienie kanałów dlaczego to tak ważne?
Po dokładnym oczyszczeniu i zdezynfekowaniu kanały muszą zostać szczelnie wypełnione. Po ich osuszeniu wprowadza się do nich specjalny, biokompatybilny materiał najczęściej gutaperkę, która jest uszczelniana specjalnym cementem. Szczelne wypełnienie kanałów jest niezwykle ważne, ponieważ zapobiega ponownej penetracji bakterii do wnętrza zęba i reinfekcji. To gwarancja długoterminowego sukcesu leczenia.
Krok 4: odbudowa korony zęba ostatni etap do pełnego uśmiechu
Ostatnim, ale równie ważnym etapem leczenia jest odbudowa widocznej części zęba, czyli jego korony. Po zakończeniu leczenia kanałowego ząb jest osłabiony, dlatego wymaga odpowiedniego zabezpieczenia. W zależności od stopnia zniszczenia, odbudowa może polegać na założeniu trwałego wypełnienia kompozytowego, wkładu koronowo-korzeniowego, a w przypadku znacznego osłabienia struktury zęba na założeniu korony protetycznej. Dzięki temu ząb odzyskuje swoją funkcję i estetykę, a Ty możesz cieszyć się pełnym uśmiechem.
Rola mikroskopu w leczeniu kanałowym: dlaczego zwiększa szansę na sukces?
W nowoczesnej endodoncji mikroskop stał się narzędziem nieocenionym. Z mojego doświadczenia wynika, że jego użycie znacząco zwiększa precyzję i skuteczność leczenia kanałowego. Dzięki powiększeniu i silnemu oświetleniu mikroskop pozwala mi:
- Znaleźć i opracować nawet bardzo wąskie, zakrzywione czy dodatkowe kanały, które bez mikroskopu mogłyby pozostać niewykryte.
- Dokładnie oczyścić i zdezynfekować całą długość kanału.
- Usunąć złamane narzędzia czy stare wypełnienia kanałowe.
Użycie mikroskopu minimalizuje ryzyko powikłań i maksymalizuje szansę na długotrwały sukces leczenia, co przekłada się na zachowanie zęba na wiele lat.
Czy leczenie kanałowe zgorzeli boli? Nowoczesne znieczulenie w praktyce
Jednym z najczęstszych pytań, jakie słyszę od pacjentów, jest: "Czy leczenie kanałowe boli?". Chcę Cię uspokoić dzięki nowoczesnym metodom znieczulenia miejscowego, leczenie kanałowe jest zazwyczaj całkowicie bezbolesne. Przed rozpoczęciem zabiegu stomatolog aplikuje skuteczne znieczulenie, które eliminuje wszelkie dolegliwości. Podczas samego leczenia możesz odczuwać jedynie lekki ucisk, ale nie ból. Po ustąpieniu znieczulenia, przez krótki czas może występować niewielka tkliwość, którą łatwo opanować ogólnodostępnymi środkami przeciwbólowymi. Pamiętaj, że naszym priorytetem jest Twój komfort i bezbolesny przebieg zabiegu.
Kiedy ekstrakcja jest jedynym wyjściem
Choć moim celem zawsze jest ratowanie zęba, zdarzają się sytuacje, w których leczenie kanałowe nie jest możliwe lub nie przyniesie oczekiwanych rezultatów. W takich przypadkach, z ciężkim sercem, muszę podjąć decyzję o ekstrakcji, czyli usunięciu zęba.
W jakich sytuacjach stomatolog decyduje o usunięciu zęba?
Decyzja o usunięciu zęba ze zgorzelą jest zawsze ostatecznością i jest podejmowana po dokładnej analizie. Oto najczęstsze sytuacje, w których ekstrakcja jest koniecznością:
- Zbyt duże zniszczenie zęba: Jeśli ząb jest tak zniszczony przez próchnicę, uraz lub rozległą infekcję, że nie ma wystarczającej ilości zdrowej tkanki do jego odbudowy po leczeniu kanałowym.
- Poważne uszkodzenia korzenia: Pęknięcia korzenia, perforacje lub inne nieodwracalne uszkodzenia, które uniemożliwiają szczelne wypełnienie kanałów lub grożą dalszymi powikłaniami.
- Brak możliwości dostępu do kanałów: W niektórych przypadkach, np. przy bardzo skomplikowanej anatomii kanałów lub obecności przeszkód (np. złamanych narzędzi), leczenie kanałowe może być technicznie niemożliwe.
- Rozległe zmiany okołowierzchołkowe: Duże torbiele lub ropnie, które nie reagują na leczenie kanałowe i wymagają usunięcia zęba wraz ze zmianą.
- Brak możliwości leczenia: Czasami pacjent z różnych przyczyn (np. ogólny stan zdrowia) nie może poddać się leczeniu kanałowemu.
Zawsze staram się wyczerpać wszystkie możliwości leczenia zachowawczego, zanim zdecyduję się na usunięcie zęba.
Jakie są dalsze kroki po ekstrakcji zęba ze zgorzelą?
Usunięcie zęba to nie koniec problemu, a początek nowego etapu leczenia. Pozostawienie luki w uzębieniu może prowadzić do przesuwania się sąsiednich zębów, problemów z nagryzaniem, a nawet zaniku kości. Dlatego po ekstrakcji zawsze omawiam z pacjentem dostępne opcje uzupełnienia braku:
- Implanty zębowe: To najnowocześniejsze i najbardziej fizjologiczne rozwiązanie. Implant zastępuje korzeń zęba, a na nim osadzana jest korona protetyczna, co pozwala na pełną odbudowę funkcji i estetyki.
- Mosty protetyczne: Wymagają oszlifowania sąsiednich zębów, na których opiera się most uzupełniający brak.
- Protezy ruchome: W przypadku większych braków lub jako rozwiązanie tymczasowe.
Wybór odpowiedniej metody zależy od wielu czynników, w tym od stanu zdrowia pacjenta, warunków w jamie ustnej i możliwości finansowych. Ważne jest, aby nie zwlekać z decyzją o uzupełnieniu luki, aby zachować prawidłową funkcję zgryzu i estetykę uśmiechu.
Zgorzel w nietypowych sytuacjach co warto wiedzieć
Zgorzel zęba może pojawić się w różnych, czasem zaskakujących okolicznościach. Jako stomatolog z doświadczeniem, spotykam się z wieloma nietypowymi przypadkami. Warto wiedzieć, że problem ten nie zawsze jest oczywisty i może wymagać szczególnego podejścia.
Czy możliwa jest zgorzel pod założoną już plombą?
Tak, niestety zgorzel może rozwinąć się pod założoną już plombą. Dzieje się tak najczęściej z kilku powodów. Po pierwsze, jeśli próchnica była bardzo głęboka, a podczas leczenia nie usunięto wszystkich zainfekowanych tkanek, bakterie mogą nadal namnażać się pod wypełnieniem, prowadząc do martwicy miazgi. Po drugie, nieszczelne wypełnienie może umożliwić bakteriom ponowne przedostanie się do wnętrza zęba. W takich przypadkach, mimo obecności plomby, ząb zaczyna boleć lub zmieniać kolor, sygnalizując rozwijającą się zgorzel. Wymaga to oczywiście usunięcia starej plomby i przeprowadzenia leczenia kanałowego.
Ząb leczony kanałowo i znowu ból czy zgorzel może powrócić?
Niestety, zgorzel może powrócić nawet w zębie, który był już leczony kanałowo. Chociaż prawidłowo przeprowadzone leczenie endodontyczne ma bardzo wysoką skuteczność, zdarzają się sytuacje, w których pierwotne leczenie było niedokładne. Mogło to wynikać z bardzo skomplikowanej anatomii kanałów, niewykrycia wszystkich kanałów, niedostatecznego oczyszczenia lub nieszczelnego wypełnienia. W takich przypadkach bakterie mogą ponownie namnożyć się w kanałach, prowadząc do reinfekcji. Wówczas konieczne jest ponowne leczenie kanałowe, czyli tzw. re-endo, które jest bardziej skomplikowane, ale często pozwala uratować ząb.
Zgorzel zęba mlecznego: jak postępować w przypadku dziecka?
Zgorzel zęba mlecznego u dzieci to problem, którego absolutnie nie wolno bagatelizować. Chociaż zęby mleczne wypadają, ich zdrowie ma ogromny wpływ na rozwój zębów stałych. Nieleczona zgorzel zęba mlecznego może prowadzić do:
- Uszkodzenia zawiązka zęba stałego: Infekcja może przenieść się na rozwijający się pod spodem ząb stały, powodując jego niedorozwój, przebarwienia lub wady strukturalne.
- Bólu i dyskomfortu: Dziecko będzie cierpieć, co wpłynie na jego samopoczucie i odżywianie.
- Poważnych powikłań: Podobnie jak u dorosłych, infekcja może rozprzestrzeniać się na inne tkanki.
Nieleczona zgorzel tykająca bomba w organizmie
To, co zaczyna się jako ból zęba, może przekształcić się w poważne zagrożenie dla całego organizmu. Nieleczona zgorzel to nie tylko problem estetyczny czy lokalny dyskomfort to tykająca bomba bakteryjna, która może mieć daleko idące konsekwencje dla Twojego zdrowia ogólnego. Jako Kajetan Kaczmarek zawsze ostrzegam moich pacjentów przed bagatelizowaniem tego stanu.
Od bólu zęba do sepsy: najpoważniejsze powikłania ogólnoustrojowe
Bakterie z ogniska zapalnego w zębie mogą przedostać się do krwiobiegu i rozprzestrzenić po całym organizmie, prowadząc do bardzo poważnych, a nawet zagrażających życiu powikłań ogólnoustrojowych:
- Zapalenie mięśnia sercowego (endocarditis): Bakterie mogą osadzać się na zastawkach serca, prowadząc do ich uszkodzenia i poważnych problemów kardiologicznych.
- Zapalenie nerek (glomerulonefritis): Infekcja może uszkodzić kłębuszki nerkowe, prowadząc do ich niewydolności.
- Sepsa: To uogólniona reakcja zapalna organizmu na infekcję, która może prowadzić do niewydolności wielonarządowej i śmierci. Jest to stan krytyczny, wymagający natychmiastowej hospitalizacji.
- Zapalenie stawów: Bakterie mogą wywoływać stany zapalne w stawach, prowadząc do bólu i ograniczenia ruchomości.
- Problemy z układem oddechowym: W rzadkich przypadkach infekcja może rozprzestrzenić się na zatoki i drogi oddechowe.
Dlatego tak ważne jest, aby nie ignorować zgorzeli i podjąć leczenie jak najszybciej.
Zapalenie okostnej i ropnie: jak infekcja rozprzestrzenia się w jamie ustnej?
Poza powikłaniami ogólnoustrojowymi, nieleczona zgorzel prowadzi do szeregu lokalnych problemów w jamie ustnej:
- Ropień okołowierzchołkowy: To zbiornik ropy tworzący się wokół wierzchołka korzenia zęba, gdy infekcja rozprzestrzeni się poza kanały. Objawia się silnym bólem, obrzękiem dziąsła i często policzka, a także gorączką.
- Zapalenie okostnej: Infekcja może objąć okostną, czyli błonę pokrywającą kość, prowadząc do bardzo bolesnego stanu zapalnego.
- Zniszczenie kości: Przewlekła infekcja może prowadzić do resorpcji (zaniku) kości wokół zęba, co osłabia jego stabilność.
- Przetoki: Ropa może znaleźć ujście, tworząc przetokę na dziąśle, przez którą wydostaje się na zewnątrz. Choć przynosi to chwilową ulgę w bólu, infekcja nadal trwa.
Wszystkie te powikłania są bolesne, niebezpieczne i znacznie komplikują późniejsze leczenie.

Lepsza profilaktyka niż leczenie jak skutecznie zapobiegać zgorzeli
Jako stomatolog zawsze powtarzam: lepiej zapobiegać niż leczyć. To powiedzenie ma szczególne zastosowanie w przypadku zgorzeli zęba. Większości przypadków martwicy miazgi można uniknąć, stosując proste, ale konsekwentne zasady profilaktyki. To inwestycja w Twoje zdrowie i spokój.
Kluczowa rola higieny i regularnych wizyt kontrolnych
Podstawą profilaktyki zgorzeli jest nienaganna higiena jamy ustnej i regularne wizyty kontrolne u stomatologa. To duet, który działa cuda:
- Prawidłowe szczotkowanie zębów: Minimum dwa razy dziennie, przez co najmniej dwie minuty, z użyciem odpowiedniej szczoteczki i pasty z fluorem. Technika ma znaczenie!
- Używanie nici dentystycznej/irygatora: Codzienne czyszczenie przestrzeni międzyzębowych, gdzie szczoteczka nie dociera, jest kluczowe dla usunięcia resztek jedzenia i płytki bakteryjnej.
- Płukanki do ust: Mogą być dodatkowym wsparciem w redukcji bakterii.
- Regularne wizyty kontrolne: Minimum raz na 6-12 miesięcy, nawet jeśli nic Cię nie boli. Stomatolog wykryje próchnicę na wczesnym etapie, zanim zdąży ona dotrzeć do miazgi.
- Profesjonalne czyszczenie zębów: Usuwanie kamienia nazębnego i osadów (skaling, piaskowanie) pomaga utrzymać dziąsła w zdrowiu i zapobiega rozwojowi próchnicy.
To proste nawyki, które chronią Cię przed poważnymi problemami.
Dieta a zdrowie zębów: co jeść, a czego unikać?
Twoja dieta ma bezpośredni wpływ na zdrowie zębów. To, co jesz, może albo wzmacniać, albo osłabiać szkliwo i sprzyjać rozwojowi próchnicy, a co za tym idzie zgorzeli. Oto ogólne zasady:
- Ogranicz cukier: Cukry proste są główną pożywką dla bakterii próchnicotwórczych. Unikaj słodyczy, napojów gazowanych i soków owocowych w nadmiarze.
- Wybieraj produkty bogate w wapń i witaminę D: Mleko, jogurty, sery, zielone warzyzy liściaste wzmacniają szkliwo.
- Jedz warzywa i owoce: Chrupiące warzywa i owoce (np. jabłka, marchew) działają jak naturalne szczoteczki, pomagając oczyścić zęby.
- Pij dużo wody: Woda wypłukuje resztki jedzenia i neutralizuje kwasy w jamie ustnej.
- Unikaj kwaśnych produktów: Soki cytrusowe, napoje energetyczne, ocet mogą erodować szkliwo. Jeśli je spożywasz, przepłucz usta wodą.
Przeczytaj również: Zatruty ząb: nie czekaj! Ryzyko sepsy i pilna pomoc
Nie zwlekaj z leczeniem próchnicy: dlaczego mała dziura to duży problem?
To chyba najważniejsza zasada, którą staram się wpajać moim pacjentom. Nie zwlekaj z leczeniem nawet niewielkiej próchnicy! Mała dziura może wydawać się błahostką, ale jest to otwarte drzwi dla bakterii. Próchnica postępuje w głąb zęba, a im bliżej miazgi, tym większe ryzyko jej infekcji i rozwoju zgorzeli. Leczenie małej próchnicy jest szybkie, bezbolesne i znacznie tańsze niż leczenie kanałowe czy ekstrakcja zęba. Pamiętaj, że każdy ubytek, który nie jest leczony, to potencjalny krok w kierunku poważniejszych problemów i konieczności ratowania zęba przed zgorzelą.




