Jako ortodonta z wieloletnim doświadczeniem doskonale rozumiem obawy rodziców, gdy pojawia się temat aparatu na zęby dla dziecka. Jedno z najczęstszych pytań, jakie słyszę, dotyczy tego, jak właściwie wygląda taki aparat. Czy będzie bardzo widoczny? Czy dziecko go zaakceptuje? Czy będzie mu przeszkadzał? Właśnie dlatego przygotowałem ten przewodnik, aby rozwiać wszelkie wątpliwości i pokazać, że nowoczesne rozwiązania ortodontyczne są projektowane z myślą o komforcie i akceptacji przez najmłodszych pacjentów. Przyjrzyjmy się wspólnie, jak prezentują się różne typy aparatów, od tych ruchomych, przez stałe, aż po niemal niewidoczne nakładki.
Aparat na zęby dla dziecka poznaj różnice w wyglądzie aparatów ruchomych i stałych
- Aparaty ruchome dla młodszych dzieci to kolorowe płytki akrylowe z metalowymi elementami, które można personalizować brokatem i naklejkami.
- Aparaty stałe dla starszych dzieci składają się z zamków, łuków i kolorowych gumek (ligatur), które są głównym elementem personalizacji.
- Dla większej dyskrecji dostępne są aparaty stałe z zamkami ceramicznymi (w kolorze zęba) lub kryształowymi (przezroczystymi).
- Nowoczesną, niemal niewidoczną alternatywą są przezroczyste nakładki Invisalign First, zdejmowane do jedzenia i mycia.
- Po leczeniu stosuje się aparaty retencyjne: niewidoczne druciki stałe lub ruchome szyny/płytki.
- Leczenie aparatem ruchomym dla dzieci do 12. roku życia jest refundowane przez NFZ.

Aparat ruchomy to kolorowy gadżet w buzi malucha
Kiedy mówimy o aparatach ortodontycznych dla młodszych dzieci, najczęściej mamy na myśli aparaty ruchome. Są one przeznaczone dla pociech w wieku 7-12 lat, czyli w okresie uzębienia mieszanego. To właśnie na tym etapie możemy skutecznie korygować wady zgryzu, wykorzystując wzrost dziecka. Co najważniejsze, aparaty ruchome mają bardzo charakterystyczny wygląd, który często, ku mojemu zaskoczeniu, staje się dla dzieci powodem do dumy, a nie wstydu. Ich kolorowy i personalizowany charakter sprawia, że są one postrzegane jako swego rodzaju gadżet.
Z czego dokładnie składa się aparat ruchomy i jak wygląda?
Aparat ruchomy, jak sama nazwa wskazuje, jest aparatem, który dziecko może samodzielnie zakładać i zdejmować. Jego podstawą jest płytka akrylowa, która jest idealnie dopasowana do podniebienia lub dolnego łuku zębowego. Z tej płytki wychodzą metalowe elementy klamry i łuki które obejmują zęby i utrzymują aparat na miejscu. Te metalowe druciki są precyzyjnie wygięte, aby wywierać odpowiedni nacisk na zęby, kierując je w pożądane pozycje. Płytka Schwarza jest jednym z najpopularniejszych typów aparatów ruchomych, ale zasada budowy jest podobna dla wielu innych wariantów.Tęcza, brokat i ulubieni bohaterowie jak dziecko może spersonalizować swój aparat?
To właśnie możliwość personalizacji sprawia, że aparat ruchomy jest tak dobrze akceptowany przez dzieci. Płytka akrylowa może przybrać niemal każdy kolor! Widziałem już aparaty w odcieniach neonowych, fluorescencyjnych, a nawet wielokolorowe, przypominające tęczę. Ale to nie wszystko. Dzieci uwielbiają, gdy w akryl zatapia się kolorowy brokat złoty, srebrny, wielobarwny który sprawia, że aparat mieni się w świetle. Często zdarza się, że mali pacjenci wybierają również małe obrazki lub naklejki z ulubionymi postaciami z bajek, zwierzątkami czy symbolami, które są trwale zatapiane w płytce. To sprawia, że aparat staje się naprawdę "ich" i chętniej go noszą.- Kolor płytki: Szeroka paleta barw, od klasycznych po neonowe i fluorescencyjne.
- Brokat: Złoty, srebrny, wielokolorowy, zatapiany w akrylu dla efektu mienienia.
- Naklejki/obrazki: Ulubione postacie, zwierzątka, symbole zatapiane w płytce.
Jak aparat ruchomy prezentuje się w ustach? Czy bardzo go widać?
Po założeniu aparat ruchomy jest widoczny, zwłaszcza gdy dziecko się uśmiecha lub mówi. Metalowe klamry i łuki są zauważalne na zębach, a kolorowa płytka częściowo zakrywa podniebienie. Jednak, jak już wspomniałem, jego kolorowy i spersonalizowany charakter często odwraca uwagę od samej "widoczności". Dzieci często traktują go jako element swojego wyglądu, a nawet chwalą się nim przed rówieśnikami. Z mojego doświadczenia wynika, że akceptacja aparatu ruchomego jest zazwyczaj bardzo wysoka, zwłaszcza gdy dziecko miało wpływ na jego wygląd.
Płytka Schwarza, aktywator, Twin Block czy różnią się wyglądem?
Choć istnieje wiele typów aparatów ruchomych, takich jak Płytka Schwarza, aktywator czy Twin Block, ich ogólna zasada budowy i wygląd są do siebie zbliżone. Wszystkie opierają się na akrylowej płytce i metalowych elementach. Różnice tkwią w ich konstrukcji wewnętrznej, mechanizmach działania i celach terapeutycznych. Wizualnie jednak, dla przeciętnego obserwatora, wszystkie te aparaty będą wyglądały podobnie jako kolorowa płytka z metalowymi drucikami w ustach dziecka. Najważniejsze jest to, że każdy z nich jest projektowany indywidualnie, aby jak najlepiej pasował do buzi małego pacjenta.

Aparat stały to coś więcej niż tylko metalowe druty
Gdy dziecko osiąga wiek, w którym ma już większość zębów stałych zazwyczaj po 12. roku życia często nadchodzi czas na aparat stały. To zupełnie inne rozwiązanie niż aparat ruchomy, zarówno pod względem budowy, jak i możliwości personalizacji. Aparat stały jest, jak sama nazwa wskazuje, na stałe przyklejony do zębów na cały okres leczenia. Choć na pierwszy rzut oka może wydawać się mniej "zabawny" niż kolorowy aparat ruchomy, to i tutaj znajdziemy elementy, które pozwalają dziecku wyrazić siebie.
Budowa aparatu stałego krok po kroku: zamki, łuki i ligatury
Aparat stały to precyzyjny system składający się z kilku kluczowych elementów:
- Zamki: To małe, kwadratowe elementy, które są indywidualnie przyklejane do każdego zęba specjalnym klejem ortodontycznym. Mogą być wykonane z metalu, ceramiki lub kryształu. Posiadają szczelinę, przez którą przechodzi łuk.
- Łuk (drut ortodontyczny): To metalowy drut, który przechodzi przez szczeliny wszystkich zamków. Jest on głównym elementem wywierającym siłę na zęby, stopniowo przesuwając je do prawidłowej pozycji. Kształt i grubość łuku są regularnie zmieniane w trakcie leczenia.
- Ligatury (gumki): To małe, elastyczne gumeczki, które mocują łuk do zamków. Są one kluczowym elementem personalizacji i to właśnie one nadają aparatowi stałemu kolor.
Kolorowe gumki największa atrakcja dla dziecka. Jakie kolory wybrać, a jakich unikać?
Ligatury to prawdziwa gratka dla dzieci noszących aparat stały. Na każdej wizycie kontrolnej, która odbywa się co 4-6 tygodni, ortodonta wymienia gumki, a dziecko ma szansę wybrać ich kolor! To pozwala na częstą zmianę wyglądu aparatu i dopasowanie go do nastroju, pory roku czy nawet ulubionej drużyny sportowej. Widziałem już aparaty w barwach klubów piłkarskich, w kolorach tęczy, a nawet w świątecznych odcieniach zieleni i czerwieni. To drobny, ale bardzo ważny element, który sprawia, że dzieci chętniej podchodzą do leczenia.
Warto jednak pamiętać o kilku zasadach przy wyborze kolorów:
- Unikaj białych gumek: Choć początkowo wydają się dyskretne, bardzo szybko się przebarwiają od jedzenia i picia, co może sprawić, że zęby będą wyglądały na żółte.
- Unikaj czarnych gumek: Mogą wyglądać, jakby między zębami utkwiły resztki jedzenia, co nie jest estetyczne.
- Uważaj na żółte i brązowe odcienie: Mogą sprawić, że zęby będą wyglądały na przebarwione lub zaniedbane.
- Polecam: Jasne, żywe kolory (niebieski, różowy, fioletowy, zielony), odcienie szarości lub srebrne (dyskretne i nieprzebarwiające się) oraz transparentne (jeśli zależy nam na minimalnej widoczności).
Czy aparat stały musi być metalowy? Opcje mniej widoczne dla nastolatków
Dla wielu nastolatków, dla których estetyka jest bardzo ważna, tradycyjne metalowe zamki mogą być źródłem dyskomfortu. Na szczęście, nowoczesna ortodoncja oferuje mniej widoczne alternatywy, które pozwalają na skuteczne leczenie bez rezygnacji z estetyki uśmiechu. Mówię tu o zamkach ceramicznych i kryształowych.
Zamki ceramiczne: dyskretne rozwiązanie w kolorze zęba
Zamki ceramiczne są wykonane z materiału w kolorze zęba, co sprawia, że są znacznie mniej zauważalne niż ich metalowe odpowiedniki. Idealnie komponują się z naturalnym odcieniem szkliwa, dzięki czemu aparat staje się bardziej dyskretny. Są jednak nieco większe i bardziej kruche niż zamki metalowe, co wymaga większej ostrożności.
Zamki kryształowe (szafirowe): niemal przezroczysta alternatywa
Zamki kryształowe, często nazywane szafirowymi, to najbardziej estetyczna opcja wśród aparatów stałych. Są one wykonane z przezroczystego materiału, który idealnie wtapia się w kolor zęba, stając się niemal niewidocznym. To doskonałe rozwiązanie dla nastolatków, którzy pragną leczyć wadę zgryzu, ale jednocześnie chcą zachować jak największą estetykę uśmiechu. Są jednak droższe i również wymagają ostrożności.
Jak wygląda uśmiech z aparatem stałym? Realistyczne spojrzenie
Uśmiech z aparatem stałym jest oczywiście inny niż bez niego. Tradycyjne metalowe aparaty z kolorowymi gumkami są wyraźnie widoczne, ale, jak wspomniałem, dla wielu dzieci i nastolatków kolorowe ligatury stają się elementem ich tożsamości. W przypadku zamków ceramicznych czy kryształowych, aparat jest znacznie bardziej dyskretny. Zamki są mniej rzucające się w oczy, a przezroczyste lub białe ligatury dodatkowo minimalizują ich widoczność. Niezależnie od wyboru, ważne jest, aby pamiętać, że to tylko przejściowy etap na drodze do pięknego i zdrowego uśmiechu.
Nowoczesna ortodoncja dziecięca czy aparat może być niewidoczny?
Współczesna ortodoncja nieustannie się rozwija, oferując rozwiązania, które jeszcze kilka lat temu wydawały się niemożliwe. Dziś, nawet dla dzieci, dostępne są metody leczenia, które są niemal niewidoczne. Mówię tu o systemie przezroczystych nakładek, takich jak Invisalign First, który rewolucjonizuje podejście do korekcji wad zgryzu u najmłodszych. To opcja, która budzi coraz większe zainteresowanie wśród rodziców, szukających dyskretnych i komfortowych rozwiązań.
Invisalign First na czym polega fenomen przezroczystych nakładek?
Fenomen Invisalign First polega na zastosowaniu serii przezroczystych, wymiennych nakładek (alignerów), które stopniowo przesuwają zęby do pożądanej pozycji. Każda nakładka jest projektowana indywidualnie dla dziecka, a jej noszenie trwa około 1-2 tygodnie, po czym wymienia się ją na kolejną. Dziecko nosi nakładki przez około 20-22 godziny na dobę, zdejmując je jedynie do jedzenia, picia (innych niż woda) i mycia zębów. To właśnie ta możliwość zdejmowania, w połączeniu z ich przezroczystością, czyni Invisalign First najbardziej dyskretną i komfortową formą leczenia.
Jak wyglądają nakładki Invisalign i czy dziecko poradzi sobie z ich noszeniem?
Nakładki Invisalign First są wykonane z cienkiego, przezroczystego tworzywa sztucznego, które idealnie przylega do zębów. Po założeniu są praktycznie niewidoczne. Z bliska można dostrzec jedynie delikatny połysk materiału. Większość dzieci bardzo szybko adaptuje się do ich noszenia. Zdejmowanie i zakładanie nakładek staje się rutyną, a fakt, że można je zdjąć do posiłku, jest dla wielu pacjentów ogromną zaletą. Moje doświadczenie pokazuje, że dzieci, które mają odpowiednią motywację i wsparcie rodziców, doskonale radzą sobie z odpowiedzialnością związaną z noszeniem i pielęgnacją nakładek.
Aparat nakładkowy a tradycyjny porównanie wyglądu i komfortu
Porównując aparaty nakładkowe z tradycyjnymi rozwiązaniami, widać wyraźne różnice w wyglądzie i komforcie:
| Cecha | Aparat nakładkowy (Invisalign First) | Tradycyjny (ruchomy/stały) |
|---|---|---|
| Widoczność | Praktycznie niewidoczny, przezroczyste nakładki. | Widoczny (kolorowa płytka, metalowe zamki, gumki). |
| Możliwość zdejmowania | Tak, do jedzenia, picia i mycia zębów. | Aparat ruchomy tak, aparat stały nie. |
| Higiena | Łatwa, zęby myje się normalnie po zdjęciu nakładek. | Wymaga specjalnych szczoteczek i większej uwagi. |
| Komfort jedzenia | Brak ograniczeń dietetycznych po zdjęciu nakładek. | Ograniczenia dietetyczne (twarde, klejące produkty). |
| Wpływ na mowę | Minimalny, szybka adaptacja. | Początkowo może wpływać na mowę (zwłaszcza ruchomy). |
| Personalizacja | Brak (przezroczysty). | Kolorowa płytka, brokat, naklejki (ruchomy); kolorowe gumki (stały). |

Elementy specjalne i etap końcowy co jeszcze warto zobaczyć?
Leczenie ortodontyczne to nie tylko sam aparat na zęby. Czasem, aby osiągnąć optymalne rezultaty, konieczne jest zastosowanie dodatkowych elementów, a po zakończeniu aktywnej fazy leczenia, kluczowe jest utrwalenie jego efektów. Przyjrzyjmy się, jak wyglądają te mniej znane, ale równie ważne części ortodontycznej podróży.Wyciągi zewnątrzustne (Headgear) kiedy są potrzebne i jak wyglądają?
Wyciągi zewnątrzustne, znane jako Headgear, to aparaty stosowane w przypadku poważniejszych wad zgryzu, zwłaszcza gdy konieczne jest zahamowanie wzrostu szczęki lub przesunięcie zębów trzonowych. Składają się z metalowego łuku, który wychodzi z ust i jest połączony z uprzężą noszoną na głowie lub karku. Muszę przyznać, że ich wygląd może budzić pewne obawy, ale na szczęście są stosowane coraz rzadziej, a jeśli już, to zazwyczaj tylko w domu, na noc. Współczesna ortodoncja stara się minimalizować ich użycie, stawiając na bardziej estetyczne i komfortowe rozwiązania.
Przeczytaj również: Aparat tylko na górę: czy warto? Ryzyka, koszty, opinia ortodonty.
Jak wygląda aparat retencyjny, który strzeże pięknego uśmiechu po leczeniu?
Po zdjęciu aparatu stałego czy zakończeniu leczenia nakładkami, zęby mają tendencję do powrotu na swoje pierwotne pozycje. Aby temu zapobiec i utrwalić osiągnięte efekty, konieczne jest noszenie aparatu retencyjnego, czyli retainera. To absolutnie kluczowy etap leczenia, który decyduje o długotrwałości pięknego uśmiechu. Retainery występują w dwóch głównych formach, a ich wygląd jest znacznie bardziej dyskretny niż aktywnych aparatów.
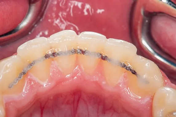
Stały retainer: niewidoczny drucik od wewnątrz
Stały retainer to cienki, metalowy drucik, który jest przyklejany od wewnętrznej strony zębów najczęściej od kła do kła zarówno w szczęce, jak i żuchwie. Jest on całkowicie niewidoczny z zewnątrz, co czyni go najbardziej dyskretnym rozwiązaniem retencyjnym. Pacjent praktycznie nie czuje jego obecności, a jego zadaniem jest utrzymanie zębów w idealnej pozycji przez wiele lat, a czasem nawet dożywotnio.
Ruchomy retainer: przezroczysta szyna lub kolorowa płytka
Ruchomy retainer to alternatywa dla stałego drucika lub jego uzupełnienie. Występuje w dwóch głównych formach: przezroczystej szyny (bardzo podobnej do nakładek Invisalign) lub akrylowej płytki (przypominającej aparat ruchomy, ale bez aktywnych elementów). Szyna jest niemal niewidoczna, a płytka może być kolorowa, podobnie jak w przypadku aparatów ruchomych dla dzieci. Ruchome retainery nosi się zazwyczaj na noc, a w początkowej fazie retencji również przez kilka godzin w ciągu dnia.




