Rak jamy ustnej to nowotwór złośliwy, który może rozwijać się w różnych częściach jamy ustnej na wargach, dziąsłach, języku, a nawet w głębi policzków. Z mojego doświadczenia wiem, że wczesne rozpoznanie jego objawów jest absolutnie kluczowe dla skutecznego leczenia i znacząco zwiększa szanse na pełne wyleczenie. Ten artykuł pomoże Ci zrozumieć, na co dokładnie zwracać uwagę, aby nie przeoczyć niepokojących sygnałów.
Rak jamy ustnej: kluczowe objawy i co powinno skłonić do wizyty u lekarza
- Niegojące się owrzodzenia, białe lub czerwone plamy, guzki i zgrubienia to najczęstsze wizualne sygnały.
- Inne objawy to ból gardła, trudności z połykaniem, drętwienie, krwawienie czy rozchwianie zębów.
- Wczesne wykrycie raka jamy ustnej zwiększa szanse na wyleczenie do około 80%.
- Główne czynniki ryzyka to palenie tytoniu, alkohol i wirus HPV.
- Samobadanie jamy ustnej i konsultacja lekarska (stomatolog, laryngolog) w przypadku utrzymujących się zmian (>2 tygodnie) są niezbędne.

Wizualne sygnały raka jamy ustnej: na co zwrócić uwagę w lustrze?
Kiedy mówimy o raku jamy ustnej, często pierwszymi sygnałami są te, które możemy zauważyć gołym okiem. Zawsze powtarzam moim pacjentom, że regularne oglądanie swojej jamy ustnej to podstawa. Te wizualne zmiany mogą początkowo być zupełnie bezbolesne, co niestety często opóźnia wizytę u specjalisty. Warto więc wiedzieć, na co dokładnie patrzeć.
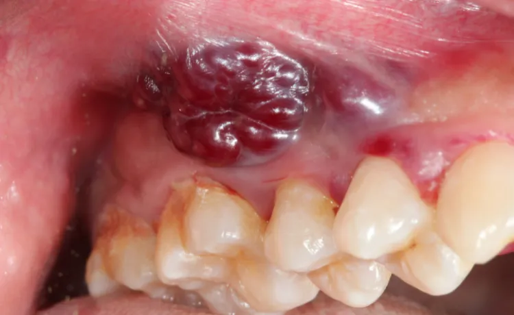
Czerwony alarm: niegojąca się ranka lub owrzodzenie
Jednym z najbardziej typowych i niepokojących objawów jest niegojące się owrzodzenie lub ranka w jamie ustnej. O ile zwykłe afty czy drobne urazy goją się zazwyczaj w ciągu 1-2 tygodni, o tyle zmiana nowotworowa utrzymuje się znacznie dłużej ponad 2-3 tygodnie. Często charakteryzuje się nierównymi, wałowatymi brzegami, a jej dno może być twarde w dotyku. To sygnał, którego absolutnie nie wolno ignorować.
Białe i czerwone plamy na języku i policzkach: kiedy powinny zaniepokoić?
Innym ważnym wizualnym sygnałem są płaskie zmiany na błonie śluzowej, których nie da się zetrzeć. Mówimy tu o leukoplakii (białe plamy) i erytroplakii (czerwone plamy). Leukoplakia to biała, często szorstka plama, która może pojawić się na języku, policzkach czy dnie jamy ustnej. Erytroplakia jest rzadsza, ale znacznie bardziej niebezpieczna to czerwona, aksamitna plama. Z mojego doświadczenia wynika, że erytroplakia ma znacznie wyższe ryzyko zezłośliwienia, dlatego każda taka zmiana wymaga natychmiastowej konsultacji.
Guzek, zgrubienie, narośl: jak odróżnić je od aft i innych niegroźnych zmian?
Wyczuwalne zmiany, takie jak guzki, zgrubienia czy narośle, mogą pojawić się na języku, wardze, dziąśle lub wewnątrz policzka. Czasem są to również nacieki, czyli stwardnienia tkanki, które mogą ograniczać ruchomość języka. Kluczowe jest odróżnienie ich od aft, które zazwyczaj są bardzo bolesne i goją się w ciągu maksymalnie dwóch tygodni. Zmiany nowotworowe mogą być początkowo bezbolesne, a ich twardość i utrzymywanie się przez dłuższy czas to powód do niepokoju.
Zmiana koloru błony śluzowej: czy każdy inny odcień to powód do paniki?
Zmiany koloru błony śluzowej, takie jak wspomniane już białe i czerwone plamy, są najważniejsze. Jednak inne nietypowe odcienie, na przykład ciemniejsze przebarwienia, które towarzyszą naciekom, również powinny zwrócić naszą uwagę. Ważne jest, aby pamiętać, że nie każda zmiana koloru oznacza raka. Jednakże, jeśli zauważysz jakąkolwiek nieustępującą zmianę w kolorze lub fakturze błony śluzowej, która utrzymuje się dłużej niż dwa tygodnie, zawsze warto skonsultować to z lekarzem. Lepiej dmuchać na zimne.
Rak jamy ustnej to nie tylko wygląd: objawy, które możesz poczuć
Poza wizualnymi sygnałami, rak jamy ustnej może dawać o sobie znać również poprzez objawy sensoryczne i funkcjonalne. Często pojawiają się one, zanim zmiany wizualne staną się wyraźne lub zanim w ogóle je zauważymy. Dlatego tak ważne jest, aby być świadomym tych mniej oczywistych, ale równie istotnych sygnałów ostrzegawczych.
Uporczywy ból gardła, ucha i trudności z przełykaniem
Uporczywy ból gardła, który nie ustępuje pomimo leczenia, a także ból promieniujący do ucha, to bardzo niepokojące sygnały. Podobnie, trudności lub ból przy połykaniu (dysfagia) i żuciu mogą wskazywać na rozwijający się problem, zwłaszcza jeśli towarzyszy im uczucie, że coś "blokuje" przełyk. Nie lekceważ tych objawów, szczególnie jeśli utrzymują się przez dłuższy czas.
Niewyjaśnione krwawienie i drętwienie języka lub warg
Każde niewyjaśnione krwawienie z jamy ustnej, które nie jest związane z urazem czy problemami z dziąsłami, powinno być sygnałem do natychmiastowej wizyty u lekarza. Podobnie, odczuwanie drętwienia lub mrowienia języka czy wargi, które utrzymuje się i nie ma wyraźnej przyczyny (np. znieczulenie u dentysty), może być objawem ucisku nowotworu na nerwy. To objawy, które wymagają szybkiej diagnostyki.
Problem z dopasowaniem protezy i ruchomość zębów: zaskakujący sygnał
Może się to wydawać zaskakujące, ale nagłe rozchwianie zębów, które nie ma wyraźnej przyczyny stomatologicznej (np. zaawansowana choroba przyzębia), może być sygnałem raka rozwijającego się w kości szczęki lub żuchwy. Podobnie, jeśli Twoja proteza nagle przestaje pasować i powoduje dyskomfort, może to być spowodowane zmianami w tkankach jamy ustnej wywołanymi przez rozwijający się nowotwór. Warto zwrócić uwagę na takie, pozornie drobne, zmiany.
Uczucie "kluski w gardle" i zmiana głosu: co to oznacza?
Uczucie "kluski w gardle", czyli wrażenie obecności ciała obcego, które nie daje się przełknąć, jest często zgłaszanym objawem, zwłaszcza gdy rak rozwija się w tylnej części jamy ustnej lub gardła. Dodatkowo, zmiana barwy głosu, chrypka utrzymująca się przez dłuższy czas, może być sygnałem, że nowotwór wpływa na struny głosowe lub struktury w ich pobliżu. To objawy, które szczególnie powinny zaniepokoić osoby palące.
Gdzie najczęściej rozwija się rak jamy ustnej? Poznaj mapę ryzyka
Znajomość najczęstszych lokalizacji raka jamy ustnej jest niezwykle ważna, ponieważ pozwala na bardziej świadome samobadanie i szybsze zauważenie potencjalnych zmian. Chociaż rak może pojawić się praktycznie wszędzie w jamie ustnej, istnieją miejsca, które są statystycznie bardziej narażone. Przyjrzyjmy się im.Język: najczęstsza lokalizacja i jej charakterystyczne objawy
Język jest najczęstszą lokalizacją raka jamy ustnej, szczególnie jego brzegi i spód. Objawy, na które należy zwrócić uwagę, to przede wszystkim niegojące się owrzodzenia, guzki lub nacieki, które mogą powodować ból, trudności w poruszaniu językiem, a nawet utrudniać mówienie i połykanie. Często zmiany te są twarde w dotyku i mogą być początkowo bezbolesne, co niestety opóźnia diagnozę.
Dno jamy ustnej i wewnętrzna strona policzków: miejsca, o których zapominamy
Dno jamy ustnej, czyli obszar pod językiem, oraz wewnętrzna strona policzków to kolejne miejsca, gdzie rak jamy ustnej często się rozwija. W tych rejonach należy szukać białych lub czerwonych plam (leukoplakii, erytroplakii), a także wszelkich zgrubień czy owrzodzeń. Ze względu na ukryte położenie, zmiany w tych miejscach mogą być trudniejsze do zauważenia podczas rutynowego samobadania, dlatego tak ważne jest dokładne oglądanie całej jamy ustnej.
Wargi i dziąsła: jak palenie i słońce wpływają na ryzyko?
Rak wargi, zwłaszcza wargi dolnej, często jest związany z przewlekłą ekspozycją na słońce, co jest typowe dla osób pracujących na zewnątrz. Objawia się zazwyczaj jako niegojące się owrzodzenie lub zgrubienie. Rak dziąseł natomiast często wiąże się z paleniem tytoniu i niewłaściwą higieną. Może manifestować się jako owrzodzenie, zgrubienie lub nawet rozchwianie zębów, co często bywa mylone z problemami periodontologicznymi. W obu przypadkach, utrzymujące się zmiany wymagają pilnej konsultacji.

Stany przedrakowe: jak wygląda problem, zanim stanie się rakiem
Zanim dojdzie do rozwoju pełnoobjawowego raka, w jamie ustnej mogą pojawić się tak zwane stany przedrakowe. Są to zmiany w tkankach, które mają zwiększone ryzyko transformacji nowotworowej. Ich wczesne wykrycie i monitorowanie są niezwykle ważne, ponieważ pozwalają na interwencję, zanim problem stanie się poważny. Zawsze podkreślam, że to właśnie na tym etapie mamy największe szanse na skuteczne zapobieganie.
Leukoplakia (białe plamy): czym jest i dlaczego wymaga obserwacji?
Leukoplakia to białe, płaskie zmiany na błonie śluzowej jamy ustnej, których nie da się zetrzeć. Mogą być gładkie lub szorstkie, a ich rozmiar i kształt są bardzo zróżnicowane. Choć nie każda leukoplakia przekształci się w raka, każda z nich jest potencjalnym sygnałem ostrzegawczym. Dlatego tak ważne jest, aby takie zmiany były regularnie obserwowane przez lekarza, a w razie potrzeby poddane biopsji. Z mojego doświadczenia wiem, że to klucz do wczesnego wykrycia.
Erytroplakia (czerwone plamy): rzadsza, ale bardziej niebezpieczna
Erytroplakia to czerwona, płaska zmiana, która często ma aksamitną teksturę. Jest znacznie rzadsza niż leukoplakia, ale co istotne, wiąże się z dużo wyższym ryzykiem zezłośliwienia. Jeśli zauważysz w swojej jamie ustnej czerwoną plamę, której nie da się zetrzeć i która utrzymuje się dłużej niż dwa tygodnie, powinieneś bezzwłocznie skonsultować się z lekarzem. To jest sygnał, którego nie wolno lekceważyć.
Rola przewlekłego drażnienia w transformacji nowotworowej
Warto pamiętać, że przewlekłe drażnienie błony śluzowej jamy ustnej może przyczyniać się do powstawania stanów przedrakowych, a w konsekwencji raka. Przykładem może być źle dopasowana proteza, która stale ociera i rani tkanki, ostre krawędzie zębów lub wypełnień, a także nawyki takie jak nagryzanie policzka. Eliminacja źródeł przewlekłego drażnienia jest ważnym elementem profilaktyki i może zmniejszyć ryzyko transformacji nowotworowej.
Kto jest najbardziej narażony? Kluczowe czynniki ryzyka raka jamy ustnej
Zrozumienie czynników ryzyka raka jamy ustnej jest równie ważne, jak znajomość jego objawów. Świadomość tego, co zwiększa nasze szanse na zachorowanie, pozwala na podjęcie odpowiednich działań profilaktycznych i zmianę stylu życia. Jako ekspert, zawsze podkreślam, że wiele z tych czynników jest modyfikowalnych, co daje nam realny wpływ na nasze zdrowie.
Papierosy i alkohol: zabójczy duet dla Twojej jamy ustnej
Nie ma co ukrywać palenie tytoniu w każdej postaci (papierosy, cygara, fajka, tytoń do żucia) oraz nadużywanie alkoholu to główne i najgroźniejsze czynniki ryzyka raka jamy ustnej. Ich działanie jest synergiczne, co oznacza, że łączne stosowanie tytoniu i alkoholu wielokrotnie zwiększa ryzyko zachorowania w porównaniu do stosowania każdego z nich osobno. To jest zabójczy duet, którego należy unikać.
Wirus HPV: cichy wróg, o którym musisz wiedzieć
Coraz więcej badań wskazuje na rolę wirusa brodawczaka ludzkiego (HPV), zwłaszcza typu 16, w rozwoju raka jamy ustnej, szczególnie w obrębie migdałków i nasady języka. Zakażenie HPV jest często przenoszone drogą płciową, w tym poprzez kontakty oralne. Świadomość tego czynnika jest ważna, a szczepienia przeciwko HPV, dostępne dla młodzieży, mogą odgrywać rolę w profilaktyce tego typu nowotworów.
Higiena, dieta i protezy: jak codzienne nawyki wpływają na zdrowie?
Poza głównymi czynnikami, istnieją również inne, które mogą zwiększać ryzyko. Niewłaściwa higiena jamy ustnej sprzyja przewlekłym stanom zapalnym. Dieta uboga w warzywa i owoce, a bogata w przetworzone produkty, może osłabiać odporność i dostarczać mniej antyoksydantów. Jak już wspomniałem, przewlekłe drażnienie błony śluzowej przez źle dopasowane protezy, ostre krawędzie zębów czy wypełnień również stanowi czynnik ryzyka. Dbanie o te aspekty to inwestycja w zdrowie.
Co robić, gdy coś Cię niepokoi? Krok po kroku do diagnozy
Jeśli zauważysz u siebie którykolwiek z wymienionych objawów lub masz jakiekolwiek wątpliwości, najważniejsze jest, aby działać szybko. Wczesna interwencja to klucz do sukcesu w leczeniu raka jamy ustnej. Nie bój się szukać pomocy to może uratować Twoje życie. Pamiętaj, że wczesne wykrycie raka jamy ustnej zwiększa szanse na wyleczenie do około 80%.

Samobadanie jamy ustnej: jak prawidłowo je wykonać w domu?
Samobadanie jamy ustnej to prosta, ale niezwykle skuteczna metoda wczesnego wykrywania niepokojących zmian. Zachęcam każdego do wykonywania go co najmniej raz w miesiącu. Oto jak to zrobić:
- Przygotuj się: Ustaw się przed lustrem w dobrze oświetlonym miejscu. Możesz użyć małego lusterka do zbadania trudno dostępnych miejsc.
- Obejrzyj wargi: Dokładnie obejrzyj i dotknij wargi z zewnątrz i od wewnątrz. Szukaj owrzodzeń, guzków, zmian koloru.
- Sprawdź policzki: Odciągnij policzki i obejrzyj ich wewnętrzną stronę. Szukaj białych, czerwonych plam, zgrubień.
- Zbadaj dziąsła i zęby: Obejrzyj dziąsła wokół zębów. Sprawdź, czy nie ma obrzęków, owrzodzeń, zmian koloru. Zwróć uwagę na ruchomość zębów.
- Obejrzyj język: Wysuń język i obejrzyj jego górną powierzchnię, boki i spód. Możesz chwycić język gazikiem, aby go delikatnie odciągnąć i dokładnie obejrzeć. Szukaj guzków, owrzodzeń, zmian koloru.
- Sprawdź dno jamy ustnej: Unieś język do podniebienia i dokładnie obejrzyj dno jamy ustnej. To często pomijane miejsce.
- Obejrzyj podniebienie: Odchyl głowę do tyłu i obejrzyj twarde i miękkie podniebienie.
- Dotknij węzłów chłonnych: Delikatnie obmacaj szyję i okolice podżuchwowe, szukając powiększonych węzłów chłonnych.
Do jakiego lekarza się udać: stomatologa, laryngologa czy rodzinnego?
Jeśli zauważysz jakąkolwiek zmianę, która utrzymuje się powyżej 2 tygodni, nie zwlekaj z wizytą u specjalisty. Pierwszym punktem kontaktu może być lekarz stomatolog, który ma największą wiedzę na temat jamy ustnej. Równie dobrze możesz udać się do laryngologa, który specjalizuje się w chorobach głowy i szyi, lub do swojego lekarza rodzinnego, który w razie potrzeby skieruje Cię do odpowiedniego specjalisty. Ważne, aby nie odkładać tej wizyty.
Przeczytaj również: Szczoteczka soniczna czy elektryczna? Werdykt dentysty
Jak wygląda wizyta diagnostyczna i dlaczego nie należy się bać biopsji?
Wizyta diagnostyczna rozpoczyna się od dokładnego badania klinicznego jamy ustnej i szyi. Lekarz obejrzy i obmaca podejrzane miejsca. Jeśli stwierdzi niepokojącą zmianę, najprawdopodobniej zaleci pobranie wycinka (biopsję). Biopsja to krótki, zazwyczaj bezbolesny zabieg (wykonywany w znieczuleniu miejscowym), podczas którego pobiera się niewielki fragment tkanki do badania histopatologicznego. To badanie jest kluczowe dla postawienia ostatecznej diagnozy i nie należy się go obawiać. To jedyna droga do potwierdzenia lub wykluczenia nowotworu i podjęcia dalszych kroków leczenia.




