Wielu moich pacjentów, zaniepokojonych zmianami w jamie ustnej, pyta mnie: "Czy rak dziąsła boli?". To naturalne pytanie, bo ból często jest pierwszym sygnałem, że coś jest nie tak. W tym artykule szczegółowo odpowiem na to pytanie, wyjaśniając, kiedy pojawia się ból w przebiegu raka dziąsła, jakie inne objawy powinny wzbudzić Twój niepokój oraz dlaczego wczesna diagnostyka jest absolutnie kluczowa, nawet jeśli ból nie występuje.
Rak dziąsła: ból zazwyczaj pojawia się w zaawansowanym stadium
- Wczesne stadia raka dziąsła często przebiegają bezboleśnie, a objawy mogą być mylone ze zwykłym stanem zapalnym.
- Ból, jeśli się pojawia, jest zazwyczaj symptomem bardziej zaawansowanej choroby, początkowo łagodny, później stały i promieniujący.
- Kluczowe wczesne objawy to białe/czerwone plamy, niegojące się owrzodzenia (>2-3 tygodnie), guzki, zgrubienia oraz niewyjaśnione krwawienia.
- Główne czynniki ryzyka to palenie tytoniu i nadużywanie alkoholu, a także wirus HPV i zła higiena jamy ustnej.
- W przypadku niepokojących objawów należy pilnie skonsultować się ze stomatologiem lub laryngologiem wczesna diagnoza znacząco zwiększa szanse na wyleczenie.
Czy rak dziąsła zawsze boli? Rozwiewamy wątpliwości
Z mojego doświadczenia wynika, że to jedno z najczęstszych pytań, które zadają osoby zaniepokojone zdrowiem swoich dziąseł. Odpowiedź nie jest prosta, ale kluczowa dla zrozumienia natury tej choroby.
Wczesny rak dziąsła: cichy wróg, który nie musi boleć
Niestety, muszę jasno powiedzieć: wczesne stadium raka dziąsła bardzo często przebiega bezboleśnie. To właśnie dlatego jest tak podstępny. Objawy, które się pojawiają, są często mylone ze zwykłym stanem zapalnym dziąseł, aftami, podrażnieniami czy innymi niezłośliwymi zmianami. Pacjenci często zwlekają z wizytą u specjalisty, bo "przecież nic nie boli". To błąd, który może mieć poważne konsekwencje. Brak bólu absolutnie nie wyklucza obecności nowotworu, dlatego tak ważne jest zwracanie uwagi na inne, mniej oczywiste sygnały.
Kiedy ból staje się sygnałem alarmowym? Charakterystyka bólu nowotworowego
Ból dziąsła w przebiegu raka zazwyczaj pojawia się na późniejszych etapach choroby, kiedy guz jest już większy i zaczyna naciekać okoliczne tkanki, nerwy lub kości. Początkowo może być to ból łagodny, tępy, sporadyczny, pojawiający się na przykład tylko podczas jedzenia lub szczotkowania zębów. Pacjenci często opisują go jako uczucie dyskomfortu, pieczenia lub ucisku. Jednak w miarę postępu choroby, ból staje się stały, uporczywy i znacznie bardziej intensywny. Może promieniować do ucha, żuchwy, skroni, a nawet szyi, utrudniając codzienne funkcjonowanie, takie jak jedzenie, mówienie czy połykanie. To właśnie ten rodzaj bólu jest sygnałem alarmowym, który powinien skłonić do natychmiastowej wizyty u lekarza.
Ból to nie wszystko: jakie inne objawy powinny zapalić czerwoną lampkę?
Ponieważ ból często pojawia się późno, niezwykle ważne jest, aby zwracać uwagę na inne, często wczesne, objawy raka dziąsła. Nawet jeśli nie towarzyszy im ból, powinny one skłonić Cię do konsultacji. Oto najważniejsze z nich:
- Białe lub czerwone plamy (leukoplakia, erytroplakia): Zmiany na dziąsłach, które nie dają się usunąć. Białe plamy (leukoplakia) są często zmianami przedrakowymi, natomiast czerwone plamy (erytroplakia) mają znacznie większy potencjał złośliwości.
- Niegojące się owrzodzenia lub ranki: Każda rana, afta czy owrzodzenie na dziąśle, które nie goi się w ciągu 2-3 tygodni, jest powodem do niepokoju.
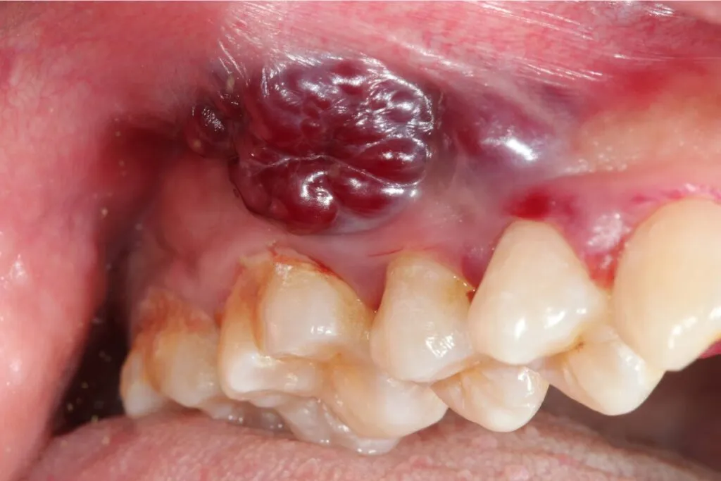
- Zgrubienia, guzki lub opuchlizna: Wyczuwalne palcem lub widoczne zmiany w strukturze dziąsła, które wcześniej nie występowały.
- Krwawienie dziąseł bez wyraźnej przyczyny: Jeśli dziąsła krwawią spontanicznie, bez urazu czy intensywnego szczotkowania, to sygnał, którego nie wolno ignorować.
- Rozchwianie zębów: Zęby w okolicy zmiany mogą stać się ruchome, nawet jeśli wcześniej były zdrowe.
- Problemy z dopasowaniem protezy: Jeśli proteza zębowa nagle zaczyna uwierać lub źle leżeć, może to być spowodowane zmianą kształtu dziąsła.
- Drętwienie wargi lub brody: Uczucie mrowienia lub drętwienia w obrębie jamy ustnej lub twarzy, które nie ustępuje.
- Powiększone węzły chłonne: Wyczuwalne, niebolesne guzki na szyi, zwłaszcza po jednej stronie.
- Trudności w połykaniu lub mówieniu: W zaawansowanych stadiach, gdy guz jest duży, może utrudniać te podstawowe funkcje.

Zmiany na dziąsłach, które wymagają konsultacji lekarskiej
Jako lekarz zawsze podkreślam, że kluczem do sukcesu w walce z nowotworami jamy ustnej jest wczesne wykrycie. Dlatego tak ważne jest, abyś potrafił rozpoznać potencjalnie niebezpieczne zmiany i nie zwlekał z wizytą u specjalisty.
Czerwone i białe plamy (erytroplakia i leukoplakia): co oznaczają?
Leukoplakia to białe plamy lub naloty na błonie śluzowej jamy ustnej, w tym na dziąsłach, których nie można usunąć. Erytroplakia to z kolei czerwone, aksamitne zmiany. Obie te zmiany są uważane za stany przedrakowe, co oznacza, że mają potencjał do przekształcenia się w nowotwór złośliwy. Erytroplakia jest szczególnie niebezpieczna, ponieważ znacznie częściej niż leukoplakia ewoluuje w raka. Jeśli zauważysz takie plamy, niezależnie od tego, czy bolą, czy nie, musisz jak najszybciej skonsultować się z lekarzem. Ich diagnostyka jest absolutnie niezbędna.
Niegojąca się ranka lub owrzodzenie: kiedy mija granica "zwykłej afty"?
Każdy z nas od czasu do czasu ma afty lub drobne ranki w jamie ustnej. Zazwyczaj goją się one samoistnie w ciągu kilku dni, maksymalnie tygodnia. Jednak jeśli zauważysz na dziąśle ranę, owrzodzenie lub nadżerkę, która utrzymuje się dłużej niż 2-3 tygodnie i nie wykazuje tendencji do gojenia, to jest to bardzo poważny sygnał alarmowy. Takie zmiany, nawet jeśli są bezbolesne, wymagają natychmiastowej oceny lekarskiej. Nie lekceważ ich, licząc, że "samo przejdzie".
Guzek, zgrubienie, opuchlizna: dlaczego nie można ich ignorować?
Pojawienie się guzka, zgrubienia lub niewyjaśnionej opuchlizny na dziąśle, której wcześniej nie było, to kolejny sygnał, którego nie wolno ignorować. Nowotwór często manifestuje się jako masa tkankowa. Taka zmiana może być twarda w dotyku, nieregularna i początkowo bezbolesna. Niezależnie od jej wielkości czy towarzyszących objawów, każda nowo powstała masa w jamie ustnej wymaga natychmiastowej oceny medycznej, aby wykluczyć lub potwierdzić złośliwy charakter.
Nietypowe krwawienie: czy na pewno winna jest szczoteczka do zębów?
Krwawienie z dziąseł jest często kojarzone z zapaleniem dziąseł lub zbyt intensywnym szczotkowaniem. Jednak jeśli zauważysz niewyjaśnione, spontaniczne krwawienie z dziąseł, które nie jest związane z urazem, szczotkowaniem czy nitkowaniem, powinno to wzbudzić Twój niepokój. Nowotwór może powodować krwawienie z powodu kruchości naczyń krwionośnych w obrębie guza. Nie zakładaj od razu, że to tylko problem higieniczny; pozwól specjaliście ocenić przyczynę.
Czynniki ryzyka raka dziąsła: co zwiększa twoje zagrożenie?
Zrozumienie czynników ryzyka jest kluczowe dla profilaktyki. Wiele z nich jest modyfikowalnych, co oznacza, że masz wpływ na zmniejszenie swojego zagrożenia.
- Palenie tytoniu (papierosy, cygara, fajki, tytoń do żucia)
- Nadużywanie alkoholu
- Zakażenie wirusem brodawczaka ludzkiego (HPV)
- Niewłaściwa higiena jamy ustnej
- Przewlekłe drażnienie (np. przez źle dopasowane protezy, ostre krawędzie zębów)
- Wiek (ryzyko rośnie po 40. roku życia)
- Płeć (częściej chorują mężczyźni)
Palenie i alkohol: duet, który drastycznie zwiększa ryzyko
To niestety najsilniejsze i najczęściej występujące czynniki ryzyka. Zarówno palenie tytoniu (w każdej postaci), jak i nadużywanie alkoholu, znacząco zwiększają ryzyko rozwoju raka dziąsła. Co gorsza, ich połączenie działa synergistycznie, czyli ryzyko rośnie nie sumarycznie, ale wręcz wykładniczo. Toksyny zawarte w dymie tytoniowym i alkohol uszkadzają komórki błony śluzowej jamy ustnej, prowadząc do mutacji i rozwoju nowotworu. Jeśli palisz i pijesz alkohol, to jest to jeden z najważniejszych powodów, aby regularnie badać jamę ustną i rozważyć zmianę nawyków.Rola wirusa HPV: co musisz wiedzieć o zakażeniu?
Wirus brodawczaka ludzkiego (HPV), znany głównie z roli w rozwoju raka szyjki macicy, jest również ważnym czynnikiem ryzyka dla niektórych nowotworów jamy ustnej, w tym raka dziąsła. Zakażenie HPV może prowadzić do zmian w komórkach, które z czasem mogą stać się złośliwe. Warto pamiętać, że zakażenie HPV jest powszechne, a jego przeniesienie może nastąpić drogą płciową, również poprzez kontakty oralne. Dostępne są szczepionki przeciwko HPV, które mogą chronić przed niektórymi typami wirusa odpowiedzialnymi za rozwój nowotworów.
Przewlekłe drażnienie i higiena: codzienne nawyki a zdrowie dziąseł
Niewłaściwa higiena jamy ustnej, prowadząca do przewlekłych stanów zapalnych dziąseł i obecności płytki nazębnej, może pośrednio zwiększać ryzyko. Podobnie, przewlekłe drażnienie błony śluzowej, na przykład przez źle dopasowane protezy zębowe, ostre krawędzie zębów czy wypełnień, które stale ocierają się o dziąsło, może prowadzić do powstawania zmian, które z czasem mogą ulec zezłośliwieniu. Regularne wizyty u stomatologa i dbanie o prawidłową higienę są więc nie tylko kwestią zdrowych zębów, ale również profilaktyki nowotworowej.Niepokojące objawy? Jak postępować krok po kroku
Jeśli zauważyłeś u siebie którykolwiek z wymienionych objawów, nie panikuj, ale działaj szybko i metodycznie. Wczesna diagnoza to Twój największy sprzymierzeniec.
Stomatolog czy laryngolog? Do kogo umówić pierwszą wizytę?
W przypadku niepokojących objawów w jamie ustnej, pierwszą wizytę możesz umówić zarówno do stomatologa, jak i laryngologa. Obaj specjaliści są w stanie przeprowadzić wstępne badanie i ocenić, czy zmiany wymagają dalszej diagnostyki. Stomatolog, ze względu na swoją codzienną praktykę, często jako pierwszy zauważa niepokojące zmiany w jamie ustnej. Laryngolog również specjalizuje się w chorobach głowy i szyi, w tym jamy ustnej. Najważniejsze jest, abyś umówił się do jednego z nich bez zwłoki.
Jak wygląda badanie diagnostyczne w gabinecie?
Wstępne badanie diagnostyczne jest zazwyczaj proste i bezbolesne. Lekarz dokładnie obejrzy całą jamę ustną, w tym dziąsła, język, podniebienie, dno jamy ustnej oraz błonę śluzową policzków. Przeprowadzi również badanie palpacyjne, czyli dotykowe, aby wyczuć ewentualne zgrubienia, guzki czy powiększone węzły chłonne na szyi. Może użyć lusterka stomatologicznego i specjalnego światła, aby dokładnie ocenić wszystkie zakamarki. To szybkie badanie, które może uratować życie.
Biopsja: kluczowy krok w potwierdzeniu lub wykluczeniu raka
Jeśli lekarz podczas badania wstępnego stwierdzi podejrzaną zmianę, kolejnym krokiem będzie biopsja. Jest to kluczowe badanie, które polega na pobraniu niewielkiego wycinka tkanki z podejrzanej zmiany. Pobrany materiał jest następnie wysyłany do badania histopatologicznego, gdzie patomorfolog ocenia go pod mikroskopem. To właśnie badanie histopatologiczne jest ostateczną i jedyną metodą diagnostyczną, która pozwala potwierdzić lub wykluczyć obecność komórek nowotworowych. Bez biopsji nie ma pewnej diagnozy raka.
Dalsze badania (TK, rezonans): co pokazują i dlaczego są ważne?
W przypadku potwierdzenia diagnozy raka dziąsła, lekarz zleci dalsze badania obrazowe, takie jak tomografia komputerowa (TK) lub rezonans magnetyczny (MRI). Te badania są niezwykle ważne, ponieważ pozwalają ocenić stopień zaawansowania choroby. Dzięki nim lekarz może dokładnie zobaczyć wielkość guza, jego ewentualne nacieki na okoliczne struktury (kości, mięśnie) oraz sprawdzić, czy doszło do przerzutów do węzłów chłonnych lub odległych narządów. Te informacje są niezbędne do zaplanowania najskuteczniejszego leczenia.Rak dziąsła a ból: najważniejsze wnioski
Podsumowując naszą rozmowę, chciałbym podkreślić kilka kluczowych kwestii, które, mam nadzieję, pomogą Ci zadbać o swoje zdrowie.
Kiedy ból dziąsła jest tylko stanem zapalnym, a kiedy może być czymś więcej?
Ból dziąsła może mieć wiele przyczyn, a najczęściej jest związany ze stanem zapalnym, np. dziąseł czy przyzębia. Taki ból zazwyczaj jest rozlany, towarzyszy mu zaczerwienienie i obrzęk, a jego nasilenie często koreluje z higieną jamy ustnej. Ból nowotworowy, jak już wspomniałem, pojawia się zazwyczaj później, jest bardziej uporczywy, często zlokalizowany w jednym miejscu i może promieniować. Kluczowa jest obserwacja czasu trwania objawów i ich charakteru. Jeśli ból jest nietypowy, utrzymuje się długo i nie reaguje na standardowe leczenie stanów zapalnych, zawsze należy rozważyć szerszą diagnostykę.
Złota zasada 2 tygodni: obserwuj i działaj bez zwłoki
Zawsze powtarzam moim pacjentom "złotą zasadę 2 tygodni". To prosta, ale niezwykle ważna reguła:
Jeśli jakakolwiek niepokojąca zmiana w jamie ustnej czy to ból, owrzodzenie, plama, guzek, czy krwawienie utrzymuje się dłużej niż 2-3 tygodnie, musisz skonsultować się z lekarzem.
Nie czekaj, aż ból stanie się nieznośny. Wczesna interwencja jest kluczowa dla Twojego zdrowia i życia.
Przeczytaj również: Ból po wyrwaniu zęba: Kiedy mija? Rozpoznaj alarm i szybko wróć do formy.
Profilaktyka i samokontrola jamy ustnej: Twoja najważniejsza broń w walce z nowotworem
Wierzę, że każdy z nas ma ogromny wpływ na swoje zdrowie. W przypadku raka dziąsła, profilaktyka i regularna samokontrola to Twoja najważniejsza broń:
- Regularne wizyty u stomatologa: Przynajmniej raz w roku, a najlepiej co 6 miesięcy, odwiedzaj stomatologa. Lekarz jest w stanie zauważyć zmiany, których Ty sam możesz nie dostrzec.
- Samokontrola jamy ustnej: Naucz się regularnie oglądać swoją jamę ustną przed lustrem. Zwracaj uwagę na dziąsła, język, podniebienie, dno jamy ustnej i wewnętrzną stronę policzków. Szukaj wszelkich nietypowych plam, zgrubień, owrzodzeń czy krwawień.
- Unikanie czynników ryzyka: Rzuć palenie, ogranicz spożycie alkoholu. To najprostsze i najskuteczniejsze sposoby na drastyczne zmniejszenie ryzyka.
- Prawidłowa higiena jamy ustnej: Regularne szczotkowanie zębów i używanie nici dentystycznej pomaga utrzymać dziąsła w zdrowiu i zmniejsza ryzyko przewlekłych stanów zapalnych.
- Szczepienie przeciwko HPV: Rozważ szczepienie przeciwko wirusowi HPV, zwłaszcza jeśli jesteś w grupie ryzyka.




