Zastanawiasz się, co tak naprawdę widać na zdjęciu rentgenowskim Twojego zęba? Ten artykuł to praktyczny przewodnik, który pomoże Ci wstępnie zrozumieć podstawy odczytywania zdjęć RTG, identyfikować kluczowe struktury oraz potencjalne problemy. Dzięki temu będziesz mógł lepiej zrozumieć diagnozę stomatologiczną i świadomie rozmawiać ze swoim dentystą.
Jak odczytać RTG zęba co widać na zdjęciu i jak je wstępnie zrozumieć
- Zdjęcia RTG zębów to czarno-białe obrazy, gdzie struktury twarde (np. szkliwo, wypełnienia) są jasne, a miękkie lub objęte problemem (np. próchnica, stan zapalny) ciemne.
- Na prawidłowym zdjęciu RTG zęba widać koronę, korzeń, otaczającą kość, a także szkliwo, zębinę i miazgę.
- Najczęstsze problemy, takie jak próchnica, stany zapalne okołowierzchołkowe czy zanik kości, objawiają się jako charakterystyczne ciemne plamy lub zmiany w strukturze.
- Istnieją różne rodzaje zdjęć RTG (punktowe, pantomograficzne, CBCT), każde służące do oceny innych obszarów i problemów.
- Wstępna, samodzielna analiza zdjęcia RTG może pomóc w zrozumieniu problemu, ale ostateczną i pełną diagnozę zawsze stawia lekarz stomatolog.
Dlaczego ostateczna diagnoza zawsze należy do lekarza?
Zawsze podkreślam moim pacjentom, że choć wstępne zrozumienie zdjęcia RTG jest bardzo pomocne, to samodzielna interpretacja ma charakter wyłącznie poglądowy. Pełną i wiarygodną diagnozę może postawić jedynie lekarz stomatolog. My, jako specjaliści, korelujemy obraz RTG z dokładnym badaniem klinicznym pacjenta, a także z jego objawami i historią medyczną. To połączenie wszystkich tych elementów pozwala na postawienie trafnej diagnozy i zaplanowanie odpowiedniego leczenia.
Prawa i lewa strona na zdjęciu: Jak się nie pomylić?
Orientacja na zdjęciu RTG może być początkowo myląca. Na zdjęciach panoramicznych, czyli tych obejmujących całe uzębienie, często znajdziesz oznaczenia literowe: R (right prawa) i L (left lewa). Pomagają one w szybkim zorientowaniu się, która strona szczęki jest przedstawiona. Dodatkowo, w stomatologii używamy międzynarodowego systemu oznaczania zębów (FDI), gdzie zęby stałe numeruje się od 11 do 48. Każda cyfra ma swoje znaczenie pierwsza oznacza ćwiartkę (np. 1 to prawa górna, 2 to lewa górna), a druga numer zęba w danej ćwiartce. Dzięki temu zawsze wiemy, o którym zębie mówimy, niezależnie od tego, kto interpretuje zdjęcie.
Ciemne czy jasne? Podstawowa zasada odczytywania obrazu rentgenowskiego
Kluczem do zrozumienia zdjęcia RTG jest zasada pochłaniania promieniowania. Struktury twarde i gęste, takie jak szkliwo, wypełnienia (plomby), korony protetyczne czy implanty, pochłaniają więcej promieniowania. W efekcie na zdjęciu są one widoczne jako jasne obszary białe lub jasnoszare. Nazywamy je cieniami dodatnimi lub obiektami radiocieniującymi. Z kolei struktury miękkie i przestrzenie, takie jak miazga zęba, tkanki objęte stanem zapalnym czy ubytki próchnicowe, przepuszczają więcej promieniowania. Na zdjęciu objawiają się one jako ciemne obszary czarne lub ciemnoszare. To są cienie ujemne lub obiekty radioprzezierne. Ta prosta zasada jest fundamentem każdej interpretacji.

Anatomia zęba w odcieniach szarości: Co widać na prawidłowym zdjęciu?
Zacznijmy od tego, jak wygląda zdrowy ząb na zdjęciu rentgenowskim. To punkt wyjścia do rozpoznawania wszelkich nieprawidłowości. Kiedy patrzę na RTG, zawsze szukam tych podstawowych struktur, aby upewnić się, że wszystko jest na swoim miejscu i wygląda prawidłowo.
Korona, korzeń i kość: Jak zidentyfikować kluczowe struktury?
Na prawidłowym zdjęciu RTG z łatwością zidentyfikujesz trzy główne części zęba. Korona to ta część, którą widzimy w jamie ustnej na zdjęciu jest to górna, najszersza część zęba. Poniżej korony znajduje się korzeń, który jest osadzony w kości szczęki lub żuchwy. Korzenie mogą być pojedyncze lub wielokrotne, w zależności od rodzaju zęba. Otaczająca je kość to jasnoszara, jednolita struktura, która stanowi fundament dla zęba.
Szkliwo, zębina, miazga: Naucz się rozróżniać tkanki zęba
Wewnątrz korony i korzenia widoczne są różne warstwy tkanek. Szkliwo to najjaśniejsza warstwa pokrywająca koronę zęba. Jest to najtwardsza tkanka w ludzkim ciele, dlatego tak silnie pochłania promieniowanie i jest tak dobrze widoczna. Pod szkliwem znajduje się zębina, która jest nieco ciemniejsza, ale wciąż stosunkowo jasna. W samym centrum zęba, zarówno w koronie, jak i w korzeniu, znajduje się miazga. Na zdjęciu RTG miazga jest widoczna jako ciemna, centralnie położona przestrzeń komora miazgi w koronie i kanały korzeniowe w korzeniu. Jej ciemny kolor wynika z tego, że jest to tkanka miękka, zawierająca naczynia krwionośne i nerwy, która przepuszcza promieniowanie.
Zdrowa kość i ozębna: Jak powinien wyglądać fundament Twojego zęba?
Zdrowa kość wokół korzenia zęba jest kluczowa dla jego stabilności. Na zdjęciu RTG powinna być widoczna jako jednolita, jasnoszara struktura. Bezpośrednio wokół korzenia zęba zauważysz cienką, ciemną linię to szpara ozębnej. Jest to przestrzeń wypełniona więzadłami, które utrzymują ząb w zębodole. Obok szpary ozębnej, po stronie kości, powinna być widoczna jasna, wyraźna linia to blaszka zbita zębodołu. Jej ciągłość i wyraźność to dobry znak, świadczący o zdrowym stanie tkanek przyzębia. Jeśli te struktury są wyraźne i nie ma żadnych ciemnych obszarów, to znaczy, że fundament Twojego zęba jest w dobrej kondycji.
Krok po kroku: Jak szukać najczęstszych problemów stomatologicznych na RTG?
Teraz, gdy już wiesz, jak wygląda zdrowy ząb, możemy przejść do identyfikacji problemów. To właśnie tutaj zdjęcie RTG staje się nieocenionym narzędziem diagnostycznym. Pamiętaj, że szukamy przede wszystkim ciemniejszych obszarów, które wskazują na ubytki lub stany zapalne.
Próchnica: Gdzie jej szukać i jak wygląda na zdjęciu?
Próchnica to jeden z najczęstszych problemów, które możemy zidentyfikować na zdjęciu RTG. Szukamy jej przede wszystkim w miejscach trudno dostępnych dla oka, czyli między zębami oraz pod istniejącymi wypełnieniami. Na zdjęciu RTG próchnica zawsze objawia się jako ciemna plama.
Ciemna plama, czyli wróg numer jeden
Dlaczego próchnica jest ciemna? Ponieważ proces próchnicowy demineralizuje twarde tkanki zęba, tworząc w nich ubytek. Ten ubytek, wypełniony zmienioną tkanką i bakteriami, przepuszcza promieniowanie rentgenowskie w większym stopniu niż zdrowa tkanka. Stąd właśnie ta charakterystyczna ciemna plama. Często na powierzchniach stycznych zębów, czyli tam, gdzie zęby stykają się ze sobą, próchnica ma kształt trójkąta, z wierzchołkiem skierowanym w stronę miazgi. Im ciemniejsza i większa plama, tym bardziej zaawansowany proces próchnicowy.
Jak zdemaskować próchnicę wtórną ukrytą pod wypełnieniem?
Niestety, próchnica potrafi być podstępna i rozwijać się pod istniejącymi wypełnieniami, co nazywamy próchnicą wtórną. Na zdjęciu RTG jest ona widoczna jako ciemny obszar, który pojawia się tuż pod jasnym polem plomby. Wypełnienia kompozytowe czy amalgamatowe są radiocieniujące, czyli jasne, więc wszelkie ciemne cienie pod nimi powinny wzbudzić Twoją czujność. To często oznacza, że wypełnienie straciło szczelność lub próchnica rozwija się na granicy zęba i wypełnienia, co wymaga interwencji stomatologa.
Stan zapalny i ropień: Czego szukać wokół korzenia zęba?
Kiedy proces zapalny obejmuje miazgę zęba i rozprzestrzenia się poza wierzchołek korzenia, na zdjęciu RTG pojawiają się bardzo charakterystyczne zmiany. Szukamy ich przede wszystkim w okolicy wierzchołka korzenia, czyli tam, gdzie ząb łączy się z kością.
Zmiana okołowierzchołkowa: Co oznacza ten niepokojący, ciemny obszar?
Zmiana okołowierzchołkowa to ciemny, często okrągły lub owalny obszar widoczny wokół wierzchołka korzenia zęba. Jest to sygnał alarmowy, świadczący o rozrzedzeniu kości w tym miejscu, co jest wynikiem procesu zapalnego. Kość w tym obszarze została zniszczona przez infekcję, dlatego przepuszcza więcej promieniowania i jest widoczna jako ciemny cień. Taka zmiana może oznaczać ropień, ziarniniak lub torbiel i zawsze wymaga leczenia kanałowego lub usunięcia zęba.
Poszerzona szpara ozębnej jako sygnał alarmowy
Wczesnym sygnałem alarmowym, często poprzedzającym rozwój pełnej zmiany okołowierzchołkowej, jest poszerzona szpara ozębnej. Pamiętasz tę cienką, ciemną linię wokół korzenia? Jeśli staje się ona grubsza i mniej wyraźna, może to wskazywać na początek stanu zapalnego. Poszerzenie szpary ozębnej może również świadczyć o przeciążeniu zęba, na przykład na skutek nieprawidłowego zgryzu. To subtelna, ale ważna wskazówka dla stomatologa.
Ocena leczenia kanałowego: Czy wszystko poszło zgodnie z planem?
Po leczeniu kanałowym zdjęcie RTG jest niezbędne do oceny jego prawidłowości. Pozwala mi sprawdzić, czy kanały zostały odpowiednio opracowane i wypełnione, co jest kluczowe dla sukcesu terapii.Jak sprawdzić, czy kanały są wypełnione prawidłowo?
Prawidłowo wypełniony kanał korzeniowy powinien być widoczny na zdjęciu RTG jako jasna, jednolita linia, która sięga do samego wierzchołka korzenia. Materiał wypełniający, najczęściej gutaperka, jest radiocieniujący, dlatego jest jasny. Idealnie, wypełnienie powinno kończyć się dokładnie na wierzchołku korzenia, bez wychodzenia poza niego. Ciągłość i jednorodność wypełnienia świadczą o szczelnym zamknięciu kanału, co zapobiega ponownej infekcji.
Czego nie powinno być w kanale? O złamanych narzędziach słów kilka
Niestety, zdarzają się również nieprawidłowości. Kanały mogą być niewypełnione do końca (materiał wypełniający nie dochodzi do wierzchołka), co stwarza ryzyko pozostawienia bakterii. Mogą być też przepełnione, gdy materiał wypełniający wychodzi poza wierzchołek korzenia, co może prowadzić do podrażnienia tkanek okołowierzchołkowych. Czasami na zdjęciu widać także złamane narzędzia są to jasne, cienkie fragmenty metalu tkwiące w kanale. Każda z tych sytuacji wymaga dalszej oceny i często ponownego leczenia.
Zanik kości i paradontoza: Czy Twoim zębom grozi utrata stabilności?
Zanik kości to poważny problem, często związany z paradontozą, który może prowadzić do rozchwiania, a nawet utraty zębów. Na zdjęciu RTG możemy ocenić poziom kości wokół korzeni zębów.
Jak ocenić prawidłowy poziom kości na zdjęciu RTG?
W zdrowym zębie kość powinna sięgać blisko szyjki zęba, czyli miejsca, gdzie korona przechodzi w korzeń. Na zdjęciu RTG widzimy, że poziom kości jest wysoki i otacza korzeń niemal w całości. Jeśli zauważysz, że poziom kości jest obniżony, a wokół korzeni zębów widać ciemniejsze obszary, to jest to sygnał zaniku kości. Im większy ubytek kości, tym mniejsze wsparcie dla zęba i większe ryzyko jego ruchomości. To kluczowy wskaźnik w diagnostyce chorób przyzębia.
Zęby zatrzymane, torbiele i inne anomalie: Co jeszcze może kryć Twoja szczęka?
Zdjęcia RTG to nie tylko próchnica i stany zapalne. Pozwalają mi również zidentyfikować inne, czasem ukryte problemy, które mogą wpływać na zdrowie jamy ustnej.
Ósemki pod specjalnym nadzorem na zdjęciu panoramicznym
Jedną z najczęstszych anomalii są zęby zatrzymane, czyli takie, które nie wyrżnęły się w całości lub wcale i są uwięzione w kości. Najczęściej dotyczy to zębów mądrości, czyli ósemek. Na zdjęciu pantomograficznym (panorama) doskonale widać, czy ósemki są prawidłowo ułożone, czy też leżą pod nieprawidłowym kątem, uciskając sąsiednie zęby lub nerwy. Inną anomalią są torbiele to dobrze odgraniczone, okrągłe lub owalne, ciemne obszary w kości, które mogą być związane z zębami zatrzymanymi lub przewlekłymi stanami zapalnymi. Wymagają one często interwencji chirurgicznej.

Rodzaje zdjęć RTG i ich specyfika: Co pokazują poszczególne prześwietlenia?
W stomatologii korzystamy z różnych rodzajów zdjęć rentgenowskich, a każde z nich ma swoje unikalne zastosowanie. Wybór odpowiedniego typu zdjęcia zależy od tego, co chcemy zbadać i jak precyzyjnej diagnostyki potrzebujemy.Zdjęcie punktowe (zębowe): Precyzyjny obraz problemu
Zdjęcie punktowe, nazywane również zdjęciem zębowym, to najczęściej wykonywany rodzaj RTG. Jak sama nazwa wskazuje, jest ono bardzo precyzyjne i pokazuje zazwyczaj 2-3 zęby w całości, od korony aż po wierzchołek korzenia wraz z otaczającą kością. Jest to idealne narzędzie do szczegółowej oceny konkretnego obszaru na przykład do zdiagnozowania próchnicy, oceny stanu zapalnego wokół wierzchołka korzenia, czy kontroli wypełnienia kanałowego. Dzięki wysokiej rozdzielczości pozwala dostrzec nawet drobne zmiany.
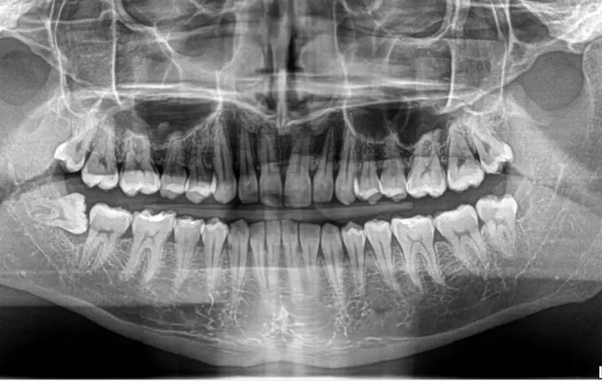
Pantomogram (panorama): Ogólny przegląd stanu uzębienia
Pantomogram, potocznie nazywany "panoramą", to zdjęcie, które daje ogólny obraz całego uzębienia, obu szczęk, zatok przynosowych, a nawet stawów skroniowo-żuchwowych. Choć nie jest tak szczegółowe jak zdjęcie punktowe, jest niezastąpione do wstępnej diagnostyki, planowania leczenia ortodontycznego, protetycznego czy implantologicznego. Pozwala mi szybko ocenić obecność wszystkich zębów (w tym zatrzymanych ósemek), ogólny stan kości, a także wykryć większe zmiany patologiczne, takie jak torbiele czy nowotwory. To takie "zdjęcie lotnicze" całej jamy ustnej.
CBCT (tomografia stożkowa): Trójwymiarowy wymiar diagnostyki
CBCT, czyli tomografia komputerowa wiązki stożkowej, to najbardziej zaawansowane narzędzie diagnostyczne, które oferuje trójwymiarowy obraz struktur szczęki i żuchwy. W przeciwieństwie do tradycyjnych zdjęć RTG, które są dwuwymiarowe, CBCT pozwala mi zobaczyć zęby, kości, nerwy i zatoki w przestrzeni. Jest to niezwykle cenne w skomplikowanych przypadkach, na przykład przy planowaniu implantów (gdzie trzeba precyzyjnie ocenić ilość i jakość kości), w diagnostyce skomplikowanych złamań, torbieli, czy w endodoncji (leczeniu kanałowym), gdy chcę dokładnie zlokalizować dodatkowe kanały lub złamane narzędzia. To jak mapa 3D, która daje mi pełny obraz sytuacji.
Podsumowanie: Jak mądrze wykorzystać wiedzę z analizy RTG w rozmowie z dentystą?
Mam nadzieję, że ten przewodnik pomógł Ci zdemistyfikować zdjęcia RTG i dał Ci podstawowe narzędzia do ich wstępnego zrozumienia. Pamiętaj, że wiedza to siła, zwłaszcza jeśli chodzi o Twoje zdrowie.
Przygotuj pytania i wątpliwości przed wizytą
Zachęcam Cię do aktywnego udziału w wizycie u stomatologa. Jeśli masz swoje zdjęcie RTG, spójrz na nie w domu, spróbuj zidentyfikować omówione struktury i ewentualne problemy. Przygotuj listę pytań i wątpliwości, które pojawią się podczas Twojej wstępnej analizy. Dzięki temu będziesz mógł świadomie rozmawiać z lekarzem, lepiej zrozumieć jego diagnozę i plan leczenia. Taka proaktywna postawa zawsze procentuje lepszą współpracą i większym poczuciem bezpieczeństwa.
Przeczytaj również: Licówki: Cena, rodzaje, efekty. Czy to rozwiązanie dla Twojego uśmiechu?
Dlaczego obraz RTG to tylko część pełnej diagnozy?
Na koniec chciałbym jeszcze raz podkreślić, że obraz RTG jest niezwykle ważnym, ale tylko jednym z elementów diagnozy. Żadne zdjęcie, nawet najbardziej szczegółowe, nie zastąpi badania klinicznego pacjenta, czyli fizycznego obejrzenia jamy ustnej, oceny dziąseł, dotykania zębów i zbierania wywiadu. Pełna i kompleksowa ocena wymaga zawsze połączenia analizy zdjęcia z doświadczeniem i wiedzą lekarza. To właśnie my, stomatolodzy, łączymy te wszystkie puzzle w spójny obraz, aby postawić trafną diagnozę i zaproponować najlepsze rozwiązanie dla Twojego uśmiechu.




