Zawód dentysty, czyli lekarza stomatologa, jest znacznie bardziej złożony, niż mogłoby się wydawać na pierwszy rzut oka. To nie tylko leczenie ubytków, ale kompleksowa opieka nad zdrowiem całej jamy ustnej, która ma ogromny wpływ na ogólny stan organizmu. Zrozumienie pełnego zakresu obowiązków i specjalizacji stomatologicznych jest kluczowe, aby świadomie dbać o swój uśmiech i wiedzieć, kiedy oraz z jakim problemem zwrócić się do odpowiedniego specjalisty. W tym artykule postaram się demistyfikować i kompleksowo przedstawić rolę stomatologa, pokazując, jak wiele dziedzin obejmuje jego praca.
Dentysta kompleksowy przewodnik po tym, co robi i w czym pomaga
- Dentysta to specjalista zajmujący się profilaktyką, diagnozowaniem i leczeniem chorób zębów, dziąseł oraz całej jamy ustnej.
- Podstawowe zabiegi obejmują leczenie próchnicy, kanałowe, usuwanie zębów oraz profesjonalną higienizację.
- Współczesna stomatologia wykorzystuje zaawansowane technologie, takie jak mikroskopy czy diagnostyka obrazowa (RTG, CBCT).
- Istnieje wiele specjalizacji, takich jak ortodoncja, protetyka, chirurgia czy periodontologia, odpowiadające na różne potrzeby pacjentów.
- Kluczową rolą dentysty jest także edukacja pacjentów w zakresie prawidłowej higieny i profilaktyki.

Co robi dentysta? Pełny zakres działań
W Polsce dentysta, formalnie lekarz stomatolog, to specjalista, którego głównym zadaniem jest dbanie o zdrowie jamy ustnej. Jego praca obejmuje szeroki wachlarz działań od profilaktyki, przez precyzyjną diagnostykę, aż po leczenie złożonych chorób zębów, dziąseł, przyzębia, a nawet części twarzowej czaszki. Moim zdaniem, stomatolog to nie tylko "naprawiacz zębów", ale przede wszystkim strażnik zdrowia, który pomaga zapobiegać problemom, zanim staną się poważne. Podstawowe zabiegi, takie jak leczenie próchnicy czy ekstrakcje, to zaledwie wierzchołek góry lodowej. Współczesna stomatologia to także zaawansowane procedury, które wymagają specjalistycznej wiedzy i nowoczesnego sprzętu.
Wizyta kontrolna: Co dentysta sprawdza, gdy siadasz na fotelu?
Dla mnie, jako dentysty, wizyta kontrolna jest fundamentem zdrowia jamy ustnej. To nie jest tylko formalność, ale kluczowy moment na wczesne wykrycie potencjalnych problemów. Podczas takiego przeglądu zawsze dokładnie oceniam stan uzębienia, szukając nawet najmniejszych oznak próchnicy. Sprawdzam również kondycję dziąseł, błon śluzowych i języka, ponieważ wiele chorób ogólnoustrojowych może manifestować się właśnie w jamie ustnej. Regularne przeglądy, zalecane co najmniej raz na sześć miesięcy, pozwalają mi na wczesną interwencję, zanim drobny problem przerodzi się w coś poważniejszego i bardziej kosztownego w leczeniu. To inwestycja w długotrwałe zdrowie i komfort.
Diagnostyka obrazowa: Kiedy potrzebne jest zdjęcie RTG i co ono pokazuje?
Diagnostyka obrazowa jest dla mnie nieocenionym narzędziem, które pozwala zajrzeć w głąb struktur niewidocznych gołym okiem. Zlecam ją, gdy potrzebuję szczegółowego obrazu kości, korzeni zębów, zatok czy stawów skroniowo-żuchwowych. Najczęściej stosowane rodzaje zdjęć to:
- Zdjęcia punktowe (okołowierzchołkowe): Pokazują szczegółowo pojedynczy ząb i otaczające go tkanki, niezbędne przy leczeniu kanałowym czy diagnostyce zmian okołowierzchołkowych.
- Zdjęcia pantomograficzne (panoramiczne): Dają ogólny obraz wszystkich zębów, szczęki, żuchwy i zatok, przydatne do oceny ogólnego stanu uzębienia, położenia zębów mądrości czy planowania leczenia ortodontycznego.
- Tomografia komputerowa wiązki stożkowej (CBCT): To najbardziej zaawansowane badanie, które dostarcza trójwymiarowy obraz struktur kostnych. Jest niezastąpione przy planowaniu implantów, skomplikowanych ekstrakcji czy diagnostyce zmian patologicznych.
Dzięki tym badaniom mogę precyzyjnie zaplanować leczenie, minimalizując ryzyko i zwiększając jego skuteczność.

Stomatologia zachowawcza: Podstawa zdrowych zębów
Stomatologia zachowawcza to absolutna podstawa mojej codziennej pracy i klucz do utrzymania zdrowych zębów przez całe życie. Jej głównym celem jest leczenie próchnicy i odbudowa zębów w taki sposób, aby przywrócić im pełną funkcjonalność i estetykę, jednocześnie maksymalnie zachowując ich naturalną tkankę. To właśnie tutaj najczęściej spotykam się z pacjentami, którzy potrzebują pomocy w walce z najczęstszą chorobą cywilizacyjną.
Próchnica wróg numer jeden: Jak dentysta ją leczy krok po kroku?
Leczenie próchnicy to jeden z najczęstszych zabiegów w moim gabinecie. Moim celem jest zawsze usunięcie chorej tkanki i odbudowanie zęba tak, aby służył pacjentowi przez długie lata. Oto typowy przebieg leczenia:
- Znieczulenie: Zawsze zaczynam od podania skutecznego znieczulenia, aby zabieg był dla pacjenta całkowicie bezbolesny i komfortowy.
- Usunięcie zmienionej tkanki: Za pomocą specjalistycznych wierteł usuwam próchnicę, dbając o to, aby pozbyć się wszystkich zainfekowanych tkanek, jednocześnie oszczędzając zdrową część zęba.
- Opracowanie ubytku: Po usunięciu próchnicy kształtuję ubytek tak, aby zapewnić optymalne warunki dla trwałego wypełnienia.
- Założenie wypełnienia: Na tak przygotowaną powierzchnię nakładam wypełnienie (potocznie "plombę"), które jest utwardzane światłem. Staram się idealnie dopasować kolor wypełnienia do naturalnego odcienia zęba, aby było ono niewidoczne.
- Polerowanie i kontrola zgryzu: Na koniec wypełnienie jest polerowane, a zgryz sprawdzany, aby zapewnić komfort i prawidłowe funkcjonowanie zęba.
Cały proces ma na celu nie tylko zatrzymanie rozwoju próchnicy, ale przede wszystkim zachowanie zęba i przywrócenie mu pełnej funkcji żucia oraz estetycznego wyglądu.
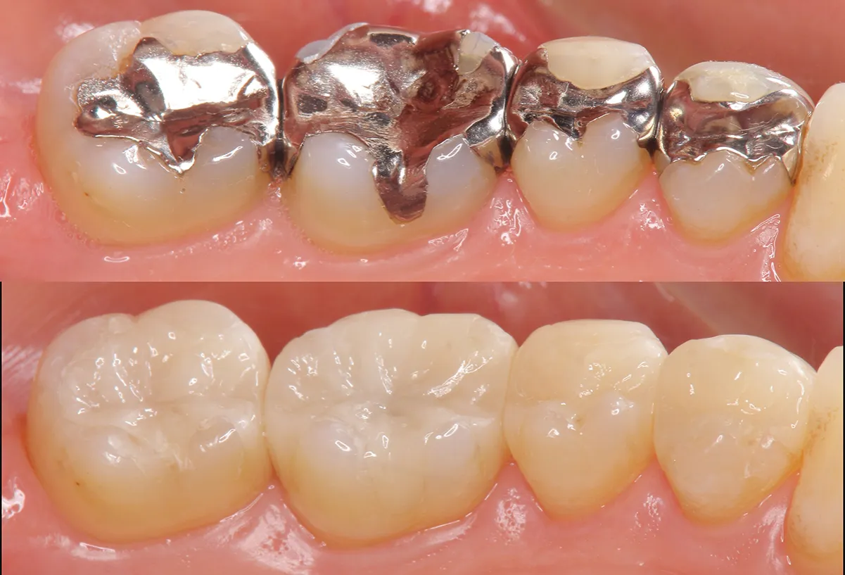
Wypełnienia stomatologiczne (plomby): Jakie rodzaje są dostępne i który wybrać?
Wypełnienia stomatologiczne, popularnie nazywane plombami, pełnią kluczową funkcję w odbudowie zęba po usunięciu próchnicy. Ich zadaniem jest szczelne zamknięcie ubytku, ochrona zęba przed dalszymi infekcjami i przywrócenie jego naturalnego kształtu oraz funkcji. Obecnie najczęściej stosuję wypełnienia kompozytowe, które są światłoutwardzalne i charakteryzują się bardzo dobrą estetyką mogę dobrać ich kolor idealnie do naturalnego odcienia zęba. Są one trwałe i pozwalają na minimalnie inwazyjne leczenie. Wybór konkretnego rodzaju wypełnienia zależy od wielu czynników, takich jak lokalizacja ubytku, jego rozmiar oraz indywidualne preferencje i możliwości finansowe pacjenta. Zawsze szczegółowo omawiam dostępne opcje, aby pacjent mógł podjąć świadomą decyzję.
Odbudowa zęba: Kiedy zwykła plomba to za mało?
Niestety, nie zawsze zwykłe wypełnienie jest wystarczające do trwałej odbudowy zęba. W sytuacjach, gdy ubytek jest bardzo duży, obejmuje znaczne części korony zęba lub gdy ząb jest osłabiony po leczeniu kanałowym, tradycyjna plomba może okazać się niewystarczająca. W takich przypadkach konieczna jest bardziej zaawansowana odbudowa, która zapewni zębowi odpowiednią wytrzymałość i ochronę przed złamaniem. Mówię tu o takich rozwiązaniach jak wkłady koronowo-korzeniowe, które wzmacniają ząb od wewnątrz, czy korony protetyczne, które całkowicie pokrywają ząb, przywracając mu pełną anatomię i funkcję. To już krok w stronę protetyki, ale jest to niezbędne, aby uratować ząb i zapobiec jego utracie.
Endodoncja: Skuteczne leczenie kanałowe
Endodoncja, czyli leczenie kanałowe, to dziedzina stomatologii, która budzi wiele obaw, ale w rzeczywistości jest niezwykle ważna i skuteczna w ratowaniu zębów, które w innym wypadku musiałyby zostać usunięte. Moim zdaniem, to prawdziwa sztuka precyzji, która pozwala zachować naturalny ząb w jamie ustnej, nawet jeśli jego miazga (nerw) została nieodwracalnie uszkodzona. Dzięki nowoczesnym technikom i sprzętowi, leczenie kanałowe jest dziś zabiegiem przewidywalnym, a przede wszystkim bezbolesnym.
Dlaczego ząb wymaga leczenia kanałowego? Przyczyny i objawy
Leczenie kanałowe jest konieczne, gdy miazga zęba (czyli tkanka znajdująca się wewnątrz zęba, zawierająca nerwy i naczynia krwionośne) zostaje nieodwracalnie uszkodzona lub zainfekowana. Najczęstsze przyczyny i objawy, które wskazują na konieczność endodoncji, to:
- Głęboka próchnica: Gdy bakterie próchnicowe dotrą do miazgi, powodując jej zapalenie lub martwicę.
- Uraz zęba: Pęknięcia, złamania lub silne uderzenia mogą uszkodzić miazgę, nawet jeśli zewnętrznie ząb wygląda na nienaruszony.
- Nieszczelne wypełnienia: Stare, nieszczelne plomby mogą prowadzić do wtórnej próchnicy i infekcji miazgi.
- Silny, pulsujący ból: Często nasilający się w nocy lub podczas jedzenia/picia ciepłych lub zimnych potraw.
- Nadwrażliwość zęba: Długo utrzymująca się wrażliwość na zimno lub ciepło, która nie ustępuje po usunięciu bodźca.
- Obrzęk i ból dziąsła: W okolicy chorego zęba, często z pojawieniem się ropnia.
- Przebarwienie zęba: Ząb może stać się ciemniejszy, co świadczy o martwicy miazgi.
Jeśli zauważasz u siebie któreś z tych objawów, nie zwlekaj z wizytą u dentysty szybka interwencja może uratować ząb.
Przebieg leczenia pod mikroskopem: Gwarancja precyzji i sukcesu
Współczesne leczenie kanałowe to zabieg wymagający niezwykłej precyzji, dlatego w moim gabinecie często wykorzystuję mikroskop stomatologiczny. Dzięki niemu mogę powiększyć pole zabiegowe nawet 25-krotnie i dokładnie oświetlić wnętrze zęba. Przebieg leczenia kanałowego polega na usunięciu zainfekowanej lub martwej miazgi z kanałów korzeniowych, ich dokładnym oczyszczeniu, poszerzeniu i zdezynfekowaniu, a następnie szczelnym wypełnieniu specjalnym materiałem. Mikroskop pozwala mi na odnalezienie wszystkich, nawet tych najmniejszych i zakrzywionych kanałów, co znacząco zwiększa szanse na pełny sukces leczenia i zapobiega ponownym infekcjom. To technologia, która naprawdę rewolucjonizuje endodoncję, czyniąc ją bardziej efektywną i przewidywalną.
Czy leczenie kanałowe zawsze jest bolesne? Nowoczesne metody znieczulenia
To jedno z najczęściej zadawanych pytań i muszę stanowczo powiedzieć: nie, leczenie kanałowe nie musi być bolesne! Mit o niezwykłej bolesności tego zabiegu pochodzi z czasów, gdy metody znieczulenia i techniki leczenia były znacznie mniej zaawansowane. Dziś, dzięki nowoczesnej stomatologii, jestem w stanie zapewnić moim pacjentom pełen komfort podczas całego zabiegu. Stosuję różnorodne metody znieczulenia:
- Znieczulenie nasiękowe: Najczęściej stosowane, podawane bezpośrednio w okolice leczonego zęba.
- Znieczulenie przewodowe: Stosowane w przypadku zębów żuchwy, znieczula większy obszar.
- Znieczulenie komputerowe: To innowacyjna metoda, która pozwala na precyzyjne i powolne podawanie środka znieczulającego, minimalizując dyskomfort związany z samym ukłuciem.
Moi pacjenci często są zaskoczeni, jak bezbolesne może być leczenie kanałowe. Moim priorytetem jest zawsze komfort pacjenta, dlatego zawsze dbam o to, aby znieczulenie było skuteczne i działało przez cały czas trwania zabiegu.

Chirurgia stomatologiczna: Szeroki zakres zabiegów
Chirurgia stomatologiczna to dziedzina, która często kojarzy się pacjentom wyłącznie z usuwaniem zębów. Tymczasem jest to znacznie szerszy zakres działań, obejmujący wiele zabiegów mających na celu nie tylko eliminację problemu, ale także odbudowę i poprawę funkcji jamy ustnej. Jako dentysta, często współpracuję z chirurgami stomatologicznymi, a wiele prostszych zabiegów chirurgicznych wykonuję samodzielnie. To obszar, który wymaga dużej precyzji i wiedzy anatomicznej.
Ekstrakcja zęba: Kiedy jest to ostateczność?
Ekstrakcja zęba, czyli jego usunięcie, jest dla mnie zawsze ostatecznością. Moim priorytetem jest ratowanie naturalnych zębów pacjenta, a do ekstrakcji decyduję się dopiero wtedy, gdy wszystkie inne metody leczenia zawiodły lub gdy ząb stanowi zagrożenie dla zdrowia. Sytuacje, w których ekstrakcja jest konieczna, to na przykład:
- Ząb jest tak zniszczony próchnicą, że nie da się go odbudować.
- Zaawansowane choroby przyzębia (paradontoza) prowadzące do znacznej ruchomości zęba.
- Zęby z nieodwracalnymi zmianami okołowierzchołkowymi, których nie można wyleczyć kanałowo lub chirurgicznie.
- Zęby zatrzymane, które powodują stany zapalne lub uszkadzają sąsiednie zęby.
- Zęby nadliczbowe.
- Wskazania ortodontyczne, gdy usunięcie zęba jest niezbędne do prawidłowego ustawienia pozostałych.
Zawsze staram się dokładnie wyjaśnić pacjentowi powody decyzji o ekstrakcji i omówić dostępne opcje uzupełnienia brakującego zęba.
Ósemki, czyli zęby mądrości: Najczęstsze powody ich usuwania
Zęby mądrości, czyli ósemki, to często źródło wielu problemów i dlatego ich usuwanie jest jednym z najczęstszych zabiegów w chirurgii stomatologicznej. Wynika to z faktu, że często brakuje dla nich miejsca w łuku zębowym, co prowadzi do ich nieprawidłowego wyrzynania się. Najczęstsze powody, dla których zalecam ich usunięcie, to:
- Zatrzymanie zęba: Ósemka nie wyrzyna się w pełni lub pozostaje całkowicie w kości, często uciskając korzenie sąsiednich zębów.
- Nieprawidłowe ułożenie: Ząb wyrzyna się pod kątem, co utrudnia higienę i sprzyja gromadzeniu się resztek pokarmowych.
- Nawracające stany zapalne: Częste infekcje dziąsła wokół częściowo wyrzniętej ósemki (tzw. pericoronitis).
- Próchnica: Trudność w prawidłowym szczotkowaniu ósemek i sąsiednich zębów prowadzi do szybkiego rozwoju próchnicy.
- Uszkodzenie sąsiedniego zęba: Ósemka może naciskać na siódemkę, powodując jej resorpcję lub próchnicę.
- Wskazania ortodontyczne: Usunięcie ósemek może być konieczne przed lub w trakcie leczenia ortodontycznego, aby zapobiec stłoczeniom.
Decyzja o usunięciu ósemek jest zawsze podejmowana indywidualnie, po dokładnej diagnostyce radiologicznej.
Implantologia: Jak dentysta odtwarza utracone zęby na stałe?
Implantologia to rewolucyjna dziedzina chirurgii stomatologicznej, która pozwala na trwałe i estetyczne odtworzenie utraconych zębów. Dla mnie, jako dentysty, implanty to najlepsze rozwiązanie w przypadku braków zębowych, ponieważ pozwalają przywrócić pacjentowi pełną funkcję żucia i piękny uśmiech, bez konieczności szlifowania sąsiednich, zdrowych zębów. Proces ten polega na wszczepieniu tytanowego implantu w kość szczęki lub żuchwy, który pełni rolę korzenia zęba. Po okresie osteointegracji, czyli zrośnięcia się implantu z kością, na implancie mocuje się łącznik, a następnie koronę protetyczną, most lub protezę. Dzięki implantom pacjenci odzyskują komfort jedzenia, swobodę mówienia i pewność siebie, co znacząco poprawia jakość ich życia.
Inne zabiegi chirurgiczne: Czym jest resekcja wierzchołka korzenia?
Poza ekstrakcjami i implantami, chirurgia stomatologiczna obejmuje wiele innych, bardziej specjalistycznych zabiegów. Jednym z nich jest resekcja wierzchołka korzenia. To procedura, którą wykonuje się, gdy standardowe leczenie kanałowe nie przyniosło oczekiwanych rezultatów, a w okolicy wierzchołka korzenia zęba utrzymuje się stan zapalny (np. torbiel lub ziarniniak). Zabieg polega na chirurgicznym usunięciu zmienionego chorobowo fragmentu wierzchołka korzenia wraz z otaczającą go tkanką. Następnie kanał korzeniowy jest wstecznie wypełniany. Resekcja wierzchołka korzenia pozwala uratować ząb przed usunięciem, gdy inne metody leczenia są nieskuteczne lub niemożliwe do wykonania.
Protetyka: Przywracanie funkcji i estetyki uśmiechu
Protetyka stomatologiczna to dziedzina, która pozwala mi przywracać pacjentom nie tylko pełną funkcjonalność zgryzu, ale także piękny i estetyczny uśmiech. Kiedy zęby są zniszczone, brakuje ich w łuku zębowym lub wymagają znacznej korekty estetycznej, to właśnie protetyka oferuje rozwiązania, które poprawiają jakość życia i pewność siebie. Moim celem jest zawsze stworzenie uzupełnień, które są trwałe, komfortowe i wyglądają naturalnie, idealnie komponując się z resztą uzębienia.
Korony i mosty: Trwałe rozwiązania na zniszczone lub brakujące zęby
Korony i mosty protetyczne to jedne z najczęściej stosowanych uzupełnień stałych, które oferują wyjątkową trwałość i estetykę. Korony są stosowane, gdy ząb jest mocno zniszczony, osłabiony po leczeniu kanałowym lub wymaga znacznej poprawy estetycznej. Korona to rodzaj "czapeczki", która całkowicie pokrywa ząb, wzmacniając go i przywracając mu naturalny kształt, kolor i funkcję. Mosty protetyczne natomiast służą do uzupełniania brakujących zębów. Składają się z koron osadzonych na sąsiednich, oszlifowanych zębach (filarach) oraz zębów sztucznych (przęseł), które zastępują braki. Zarówno korony, jak i mosty są wykonywane z różnych materiałów, takich jak porcelana, cyrkon czy metal, a ich główną zaletą jest to, że są na stałe cementowane w jamie ustnej, co zapewnia wysoki komfort użytkowania i naturalne odczucia.
Protezy zębowe: Rodzaje i nowoczesne alternatywy
Protezy zębowe to rozwiązania stosowane w przypadku większych braków zębowych lub całkowitego bezzębia. Tradycyjnie wyróżniamy protezy ruchome, które pacjent może samodzielnie wyjmować z jamy ustnej. Mogą to być protezy częściowe (uzupełniające kilka brakujących zębów) lub całkowite (dla osób bezzębnych). Chociaż są one funkcjonalne, często bywają kojarzone z pewnym dyskomfortem i mniejszą stabilnością. Na szczęście, współczesna protetyka oferuje znacznie bardziej komfortowe i stabilne alternatywy, takie jak protezy wsparte na implantach. Dzięki kilku wszczepionym implantom, proteza zyskuje solidne oparcie, co eliminuje problem przesuwania się i poprawia komfort żucia. To rozwiązanie, które łączy zalety protez zębowych z trwałością i stabilnością implantów, znacząco poprawiając jakość życia pacjentów.
Licówki: Sposób na natychmiastową metamorfozę uśmiechu
Licówki stomatologiczne to jedno z moich ulubionych narzędzi w stomatologii estetycznej, ponieważ pozwalają na szybką i spektakularną metamorfozę uśmiechu. Są to cienkie płatki porcelany lub kompozytu, które są precyzyjnie cementowane na przedniej powierzchni zębów. Stosuję je w sytuacjach, gdy pacjent chce poprawić kształt, kolor, rozmiar zębów, zamknąć diastemy (szpary między zębami) lub skorygować drobne wady ustawienia. Licówki są idealnym rozwiązaniem dla osób, które marzą o "hollywoodzkim uśmiechu" bez konieczności inwazyjnego leczenia ortodontycznego czy wybielania. Dzięki nim mogę osiągnąć natychmiastowy, trwały i naturalnie wyglądający efekt, który znacząco poprawia estetykę uśmiechu i pewność siebie pacjenta.

Inne specjalizacje stomatologiczne: Kto zajmuje się czym?
Świat stomatologii jest niezwykle rozległy, a zakres działań dentysty wykracza daleko poza podstawowe leczenie próchnicy. Wiele problemów wymaga specjalistycznej wiedzy i umiejętności, dlatego w stomatologii wykształciło się wiele specjalizacji. Jako dentysta ogólny, często jestem pierwszym punktem kontaktu, ale wiem, kiedy skierować pacjenta do kolegi specjalisty. To właśnie dzięki współpracy różnych dziedzin możemy zapewnić pacjentom kompleksową i najwyższej jakości opiekę.
Ortodoncja: Kto i kiedy powinien założyć aparat na zęby?
Ortodoncja to dziedzina stomatologii zajmująca się diagnozowaniem i leczeniem wad zgryzu oraz nieprawidłowości w ustawieniu zębów. Rolą ortodonty jest nie tylko poprawa estetyki uśmiechu, ale przede wszystkim przywrócenie prawidłowej funkcji żucia i artykulacji. Kto i kiedy powinien rozważyć założenie aparatu na zęby? W zasadzie każdy, kto ma problem z krzywymi zębami, stłoczeniami, szparami, zgryzem otwartym, głębokim czy krzyżowym. Leczenie ortodontyczne można rozpocząć w każdym wieku u dzieci często stosuje się aparaty ruchome, a u młodzieży i dorosłych aparaty stałe (metalowe, estetyczne, lingwalne) lub przezroczyste nakładki (alignery). Moim zdaniem, warto rozważyć konsultację ortodontyczną, jeśli zauważamy jakiekolwiek nieprawidłowości w ustawieniu zębów, ponieważ wady zgryzu mogą prowadzić do problemów z higieną, próchnicy, chorób dziąseł, a nawet dolegliwości ze strony stawów skroniowo-żuchwowych.
Periodontologia: Jak dentysta leczy choroby dziąseł i paradontozę?
Periodontologia to specjalizacja, która zajmuje się zdrowiem tkanek otaczających ząb, czyli dziąseł i przyzębia. To niezwykle ważna dziedzina, ponieważ zdrowe dziąsła są fundamentem dla zdrowych zębów. Periodontolog leczy wszelkie stany zapalne dziąseł (gingivitis) oraz zaawansowane choroby przyzębia, potocznie nazywane paradontozą (periodontitis). W ramach leczenia dentysta wykonuje szereg zabiegów, takich jak profesjonalne czyszczenie zębów (scaling naddziąsłowy i poddziąsłowy), kiretaż (oczyszczanie kieszonek dziąsłowych), a w bardziej zaawansowanych przypadkach zabiegi chirurgiczne, mające na celu regenerację utraconych tkanek przyzębia lub korektę kształtu dziąseł. Leczenie periodontologiczne jest kluczowe, aby zapobiec utracie zębów spowodowanej chorobami dziąseł i utrzymać stabilne podparcie dla zębów.
Stomatologia dziecięca (pedodoncja): Dlaczego pierwsza wizyta jest tak istotna?
Stomatologia dziecięca, czyli pedodoncja, to niezwykle ważna i specyficzna dziedzina, która wymaga od dentysty szczególnego podejścia i empatii. Dzieci to mali pacjenci, którzy często mają lęk przed wizytą w gabinecie, dlatego moim celem jest zawsze stworzenie przyjaznej i bezpiecznej atmosfery. Pierwsza wizyta u dentysty, nazywana wizytą adaptacyjną, jest absolutnie kluczowa. Powinna odbyć się już około pierwszego roku życia dziecka lub po pojawieniu się pierwszych zębów. Podczas takiej wizyty nie tylko sprawdzam stan zębów i dziąseł, ale przede wszystkim oswajam dziecko z gabinetem, fotelem i narzędziami. To buduje pozytywne doświadczenia i zaufanie, co jest fundamentem dla przyszłej profilaktyki i leczenia. Pedodonta edukuje również rodziców w zakresie prawidłowej higieny jamy ustnej u dzieci, diety i zapobiegania próchnicy butelkowej. Wczesne wizyty pozwalają na wczesne wykrycie i leczenie próchnicy, a także na wdrożenie zabiegów profilaktycznych, takich jak lakowanie czy fluoryzacja, które chronią zęby najmłodszych.Profilaktyka i higienizacja: Jak dbać o zdrowie jamy ustnej?
Profilaktyka i regularna higienizacja to, moim zdaniem, najważniejsze elementy dbania o zdrowie jamy ustnej. Nawet najlepsze leczenie nie przyniesie długotrwałych efektów, jeśli pacjent nie będzie odpowiednio dbał o higienę na co dzień. Jako dentysta, zawsze podkreślam, że zapobieganie jest znacznie lepsze i tańsze niż leczenie. Dlatego dużą część mojej pracy poświęcam edukacji i wykonywaniu profesjonalnych zabiegów, które pomagają utrzymać zęby i dziąsła w doskonałej kondycji.
Scaling i piaskowanie: Profesjonalne czyszczenie, którego nie zrobisz w domu
Scaling i piaskowanie to dwa kluczowe zabiegi higienizacyjne, których nie da się wykonać samodzielnie w domu, a które są niezbędne dla utrzymania zdrowia jamy ustnej. Scaling polega na profesjonalnym usunięciu kamienia nazębnego, zarówno naddziąsłowego, jak i poddziąsłowego, za pomocą ultradźwięków. Kamień nazębny to zmineralizowana płytka bakteryjna, która jest główną przyczyną stanów zapalnych dziąseł i paradontozy. Piaskowanie natomiast to zabieg usuwający osady, przebarwienia i naloty z powierzchni zębów, powstałe na skutek picia kawy, herbaty czy palenia papierosów. Wykonuje się je za pomocą specjalnego piaskarki, która pod ciśnieniem rozpyla drobny proszek z wodą. Oba zabiegi są kluczowe dla zdrowia dziąseł i zębów, ponieważ przywracają gładką powierzchnię zębów, utrudniając przyleganie bakterii, a także poprawiają estetykę uśmiechu. Zalecam ich regularne wykonywanie, zazwyczaj co 6-12 miesięcy.
Fluoryzacja i lakowanie: Skuteczna ochrona przed próchnicą
Fluoryzacja i lakowanie to proste, ale niezwykle skuteczne zabiegi profilaktyczne, które znacząco wzmacniają zęby i chronią je przed próchnicą. Fluoryzacja polega na pokryciu powierzchni zębów specjalnym preparatem zawierającym wysoką koncentrację fluoru. Fluor wbudowuje się w szkliwo, wzmacniając je i czyniąc bardziej odpornym na działanie kwasów produkowanych przez bakterie próchnicowe. Jest to szczególnie ważne u dzieci i młodzieży, ale również u dorosłych z nadwrażliwością czy tendencją do próchnicy. Lakowanie zębów natomiast to zabieg polegający na wypełnieniu naturalnych bruzd i zagłębień na powierzchniach żujących zębów (głównie trzonowych i przedtrzonowych) specjalnym lakiem. Bruzdy te są często trudno dostępne dla szczoteczki, co sprzyja zaleganiu resztek pokarmowych i rozwojowi próchnicy. Lakowanie tworzy barierę ochronną, która uszczelnia te miejsca, skutecznie chroniąc ząb. Oba zabiegi są bezbolesne i stanowią ważny element kompleksowej profilaktyki próchnicy.
Przeczytaj również: Ile zarabia dentysta? Prawdziwe stawki godzinowe i realny zysk
Indywidualny instruktaż higieny: Czy na pewno dobrze myjesz zęby?
Nawet najlepsze zabiegi w gabinecie nie zastąpią codziennej, prawidłowej higieny jamy ustnej. Właśnie dlatego tak dużą wagę przykładam do indywidualnego instruktażu higieny. Często pacjenci są przekonani, że dobrze myją zęby, ale po dokładnym pokazaniu techniki okazuje się, że mają wiele błędów. Podczas instruktażu, który może przeprowadzić zarówno dentysta, jak i higienistka stomatologiczna, uczymy prawidłowego szczotkowania zębów (wyboru odpowiedniej szczoteczki i techniki), nitkowania (lub używania irygatora), a także doboru past i płukanek dopasowanych do indywidualnych potrzeb. Pokazuję, jak skutecznie usuwać płytkę bakteryjną z każdej powierzchni zęba, w tym z przestrzeni międzyzębowych, które są często pomijane. To kluczowy element profilaktyki, który pozwala pacjentom przejąć kontrolę nad zdrowiem swojej jamy ustnej i znacząco zmniejszyć ryzyko próchnicy i chorób dziąseł.




